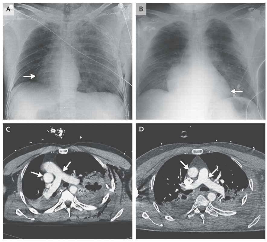
Totul a început în momentul în care bărbatul de 48 de ani, implicat într-un accident de motocicletă, a ajuns la spital, iar medicii nu au reuşit să-i audă bătăile inimii, deşi pacientul era conştient şi putea să comunice. Radiografia a arătat ce se întâmplase de fapt.
Medicul Gregory Fontana, de la spitalul Lenox Hill din New York, spune că acest caz este foarte neobişnuit şi reprezintă totodată o descoperire interesantă despre anatomie.
Medicii au fost uimiţi că bărbatul a supravieţuit unui asemenea traumatism. Ei au descoperit apoi că inima nu se rotise în momentul accidentului, ci la aproximativ o oră după aceea.

În urma şocului, din plămânii pacientului a început să iasă aer, care s-a acumulat în piept, aceste pungi cu aer ducând la mutarea inimii spre dreapta, explică Fontana.
După ce aerul a fost scos din torace, inima s-a deplasat la loc, iar după doar 24 de ore se afla în poziţia normală.
Deşi un asemenea caz este unic până acum, medicii ştiu că în anumite situaţii oamenii au inima în partea dreaptă a corpului.
De obicei, anomalia apare din cauza unor malformaţii congenitale. O altă situaţie este în cazul eliminării plămânului drept, în urma unui cancer, inima având astfel un loc liber în care se poate muta.
Inima se poate deplasa pentru că este un organ mobil, fixat doar într-un sac, în timp ce arterele sunt fixate de coloana vertebrală şi de ţesut.
Sursa: Live Science