După ce părinţii au dus-o la spital ca să afle ce se întâmplă, medicul Jose Liders Burgos şi colegii săi i-au făcut o tomografie.
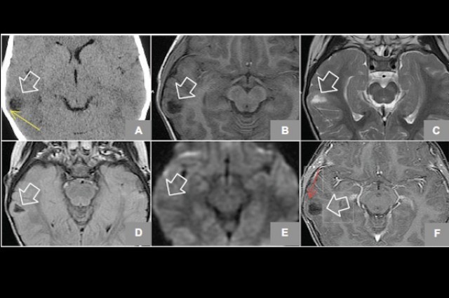
Astfel, ei au descoperit că fata avea pe creier un hamartom, o formaţiune pseudotumorală mică, benignă, care apăsa pe lobul temporal, provocând aceste crize.
Crizele dr râs au fost descrise pentru prima dată în anul 1877. Ele au loc în lobul temporal. Boala, care este foarte rară, îi afectează de obicei pe copii.

În comparaţie, râsul normal implică alte zone cerebrale: hipotalamusul şi cortexul temporal.
Fetiţa a fost operată pentru îndepărtarea hamartomului, iar acum se dezvoltă normal, este sănătoasă şi nu mai are crize.
Cazul ei îi va ajuta pe medici să diagnosticheze mai corect anumiţi copii care par să aibă un comportament anormal.
Sursa: I Fucking Love Science!