Înapoi la articol
Poza 1 / 1

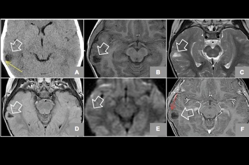
Oamenii credeau că e posedată, pentru că nu se putea opri din râs. Ce au aflat medicii? (FOTO)

O fetiţă de 6 ani din Bolivia avea crize incontrolabile de râs. Comportamentul ei ciudat era considerat uneori proastă-creştere, răsfăţ, nebunie, deşii unii bănuiau chiar că micuţa este posedată de Diavol.