Home » D:News » „Doctorii” banale ar putea opri dezvoltarea unor tumori canceroase

„Doctorii” banale ar putea opri dezvoltarea unor tumori canceroase

„Doctorii” banale ar putea opri dezvoltarea unor tumori canceroase
Publicat: 04.10.2011
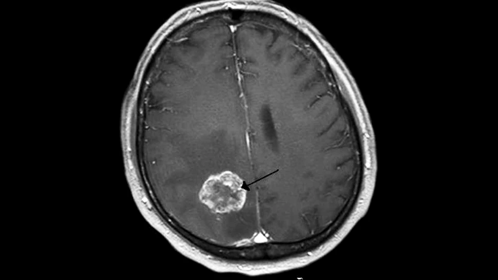
Analgezicele obişnuite şi medicamentele antivirale ar putea fi esenţiale pentru tratarea unor forme letale de cancer, susţine un nou studiu.

Medicamente banale, disponibile fără reţetă şi folosite în mod frecvent, pot bloca funcţionarea sistemului de comunicare internă a organismului, care permite tumorilor canceroase să se dezvolte.

Fenomenul este legat de existenţa unui virus, numit citomegalovirus (CMV), prezent în stare latentă în organism la 75% din populaţia mondială.

CMV este activat atunci când întâlneşte celule canceroase şi, ulterior, contribuie la dezvoltarea lor.

CMV are un rol central în dezvoltarea anumitor forme de cancer, precum cel la creier, sân, intestin sau prostată – cancere care, în Marea Britanie, de pildă, provoacă anual decesul a aproape 43.000 de persoane.

Recent, cercetătorii de la Institutul Karolinska din Suedia au descoperit că, dacă acest virus este tratat cu unele medicamente analgezice, antiinflamatoare şi antivirale obişnuite, rata de creştere a tumorilor poate scădea cu până la 72%.

Acestă metodă ar putea deveni un mijloc esenţial de evitare a creşterii tumorilor, îmbunătăţind astfel şansele de vindecare, deoarece tumorile mici pot fi distruse cu ajutorul chimioterapiei.

Sursa: Mail Online

Urmărește DESCOPERĂ.ro pe
Google News și Google Showcase
Cele mai noi articole
JWST a descoperit o galaxie spirală asemănătoare Căii Lactee undeva unde nu ar trebui să existe
JWST a descoperit o galaxie spirală asemănătoare Căii Lactee undeva unde nu ar trebui să existe
10 obiceiuri prin care putem încetini îmbătrânirea corpului nostru
10 obiceiuri prin care putem încetini îmbătrânirea corpului nostru
Ziua în care Alexandru Ioan Cuza a introdus învăţământul obligatoriu şi gratuit. Ce păţeau părinţii care nu se supuneau legii
Ziua în care Alexandru Ioan Cuza a introdus învăţământul obligatoriu şi gratuit. Ce păţeau părinţii care nu se ...
20 de lucruri uimitoare despre creierul uman
20 de lucruri uimitoare despre creierul uman
Marile companii de Inteligență Artificială sunt „mai puțin reglementate decât restaurantele”
Marile companii de Inteligență Artificială sunt „mai puțin reglementate decât restaurantele”
Trei reguli pe care părinții ar trebui să le aplice în privința telefoanelor pentru copii
Trei reguli pe care părinții ar trebui să le aplice în privința telefoanelor pentru copii
Românii vor avea facturi mai mari la gaze de la 1 aprilie 2026
Românii vor avea facturi mai mari la gaze de la 1 aprilie 2026
ESA intensifică cercetarea Pământului pe măsură ce viitorul agențiilor americane devine tot mai incert
ESA intensifică cercetarea Pământului pe măsură ce viitorul agențiilor americane devine tot mai incert
Un bazin roman monumental, ascuns timp de 2.000 de ani, a fost dezgropat lângă Roma
Un bazin roman monumental, ascuns timp de 2.000 de ani, a fost dezgropat lângă Roma
Un expert spune că modelele lingvistice mari nu vor fi niciodată cu adevărat inteligente
Un expert spune că modelele lingvistice mari nu vor fi niciodată cu adevărat inteligente
PRESS RELEASE: The concept of the DraculaLand project is being launched in Romania – a private investment of over EUR 1 billion, designed to become the largest entertainment, retail, and technology destination on the continent, one that will transform the country into a new global epicenter of entertainment
PRESS RELEASE: The concept of the DraculaLand project is being launched in Romania – a private investment of over EUR 1 ...
Economia suferă din cauza că oamenii nu cumpără mai des telefoane noi, susțin unii experți
Economia suferă din cauza că oamenii nu cumpără mai des telefoane noi, susțin unii experți
ADN-ul de lup se ascunde în majoritatea câinilor, au descoperit oamenii de știință
ADN-ul de lup se ascunde în majoritatea câinilor, au descoperit oamenii de știință
Prima „hartă biblică” încă influențează modul în care percepem granițele
Prima „hartă biblică” încă influențează modul în care percepem granițele
Eleanor de Aquitania, femeia care a condus Europa din umbra
Eleanor de Aquitania, femeia care a condus Europa din umbra
„Podcast cu Prioritate” #87 by ProMotor: samsari auto, mașini cu probleme și concluziile lui Dan Babu după sute de verificări
„Podcast cu Prioritate” #87 by ProMotor: samsari auto, mașini cu probleme și concluziile lui Dan Babu după sute de ...
Robert de Boron, autorul uitat care a reinventat legenda Sfântului Graal
Robert de Boron, autorul uitat care a reinventat legenda Sfântului Graal
De ce ni se pare că „simțim” durere atunci când vedem pe cineva rănit?
De ce ni se pare că „simțim” durere atunci când vedem pe cineva rănit?