Înapoi la articol
Poza 3 / 10

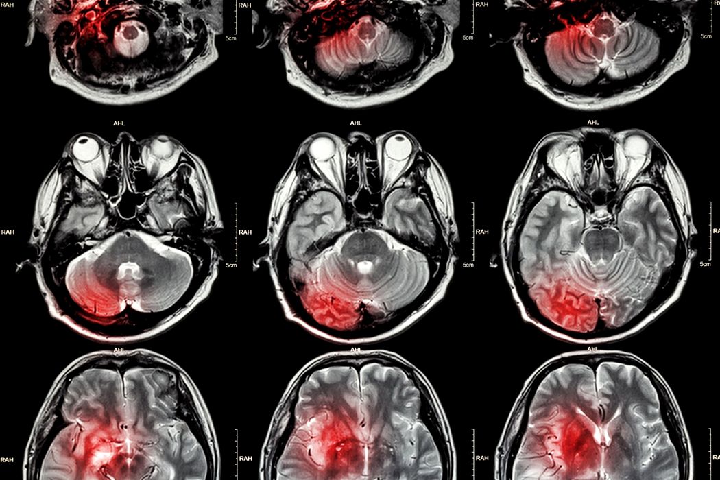
Un antidepresiv ar putea trata tumorile cerebrale

Glioblastomul este o tumoare cerebrală deosebit de agresivă, care în prezent este incurabilă. Medicii oncologi pot prelungi speranța de viață a pacienților prin operații, radioterapie, chimioterapie sau intervenții chirurgicale. Cu toate acestea, jumătate dintre pacienți […]