Înapoi la articol
Poza 6 / 10

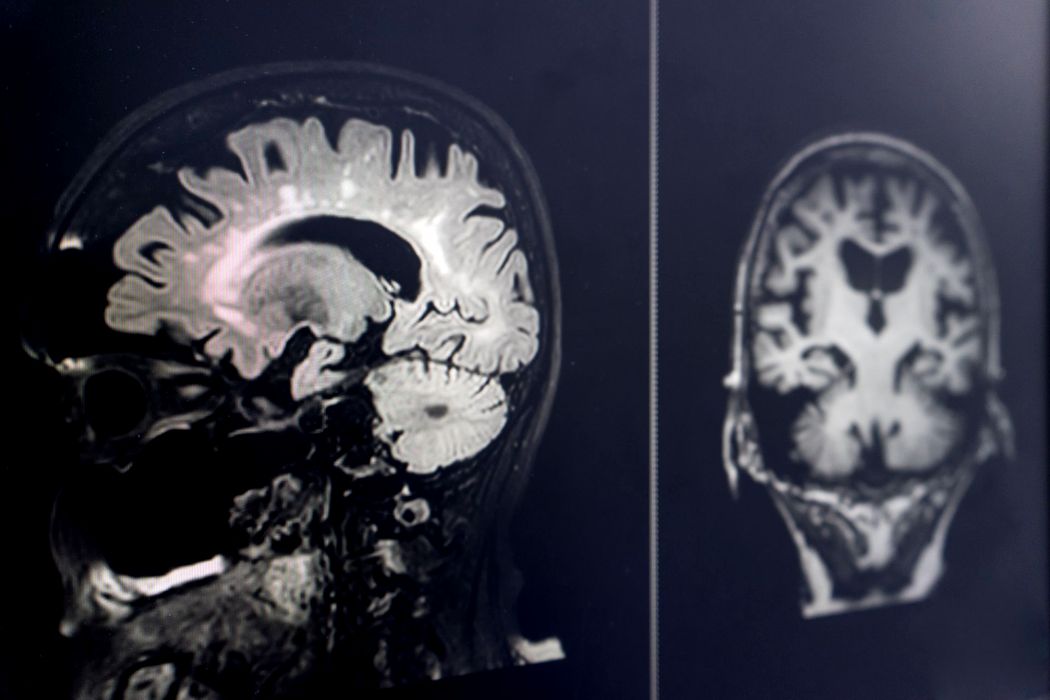
Oamenii de știință ar fi la un pas să rezolve un obstacol major în tratarea creierului

Una dintre cele mai mari provocări în livrarea tratamentelor pentru Alzheimer și alte boli legate de creier este depășirea sistemului robust de apărare pe care creierul îl are pentru a se proteja. Însă, datorită unui […]