Home » Știință » Un nou studiu sugereaza că maladia Alzheimer este cauzată de o ciupercă cerebrală

Un nou studiu sugereaza că maladia Alzheimer este cauzată de o ciupercă cerebrală

Publicat: 28.10.2015
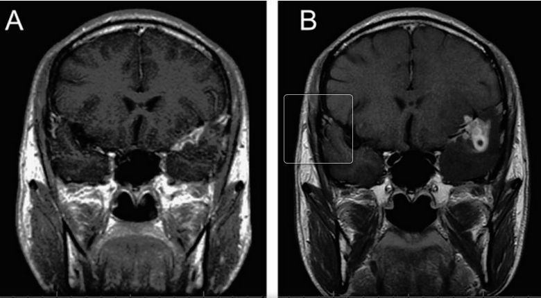
Anual, mai multe persoane care depăşesc vârsta de 65 de ani suferă de demenţă. Cercetătorii încă sunt în căutarea cauzei, pe când noile studii oferă o teorie fascinantă: unele cazuri de Alzheimer pot fi determinate de o simplă ciupercă cerebrală.
Studiul apărut în Nature Scientific Reports creează controverse în comunitatea ştiinţifică. Cercetătorii din domeniul biologiei moleculare, Diana Pisa, Luis Carrasco şi colegii lor au studiat 25 de cadavre, dintre care 14 aparţineau oamenilor bolnavi de Alzheimer. Ce au descoperit aceşti savanţi pare a fi incredibil. Toţi cei 14 care au fost bolnavi de Alzheimer au avut o infecţie fungică.
 
Este posibil, oare, ca această infecţie fungică să cauzeze simptomele demenţei? Diana Pisa şi colegii săi nu exclud această posibilitate. Astăzi există numeroase tratamente pentru infecţiile fungice cunoscute, iar cercetătorii afirmă că următorul pas este să fie testată eficacitatea acestor medicamente pe exponenţi care suferă de Alzheimer.
 
 
“Cauza bolii Alzheimer este bine-înţeleasă. În anumite familii nefericite, boala pare a fi o tulburare moştenită cauzată de unele mutaţii la nivel genetic. În cazul în care infecţiile fungice ar fi ultima cauză, mutaţiile genetice ar trebui să facă transportatorii săi sensibili, iar 100% dintre aceştia ajung să fie infectaţi, ceea ce este puţin posibil ”, afirmă neurologul John Hardy de la University College din Londra.
 
Este foarte posibil, precum în cazul cancerului, ca maladia Alzheimer să nu aibă o singură cauză, ci mai multe. Pot exista zeci de motive din cauza cărora oamenii dezvoltă demenţa, iar fiecare dintre ele să necesite tratamente diferite. În cazul în care acest studiu va duce la, cel puţin, un tratament contra demenţei, va fi o victorie.
 
 
Sursa: Gizmodo
Urmărește DESCOPERĂ.ro pe
Google News și Google Showcase
Cele mai noi articole
Cum să fii o gazdă sau un musafir bun în sezonul sărbătorilor?
Cum să fii o gazdă sau un musafir bun în sezonul sărbătorilor?
Marea Britanie lansează două studii pentru a evalua efectele blocantelor pubertății la tineri cu incongruență de gen
Marea Britanie lansează două studii pentru a evalua efectele blocantelor pubertății la tineri cu incongruență de gen
„Noua Rusie” a lui Vladimir Putin include și teritorii de la granița cu România
„Noua Rusie” a lui Vladimir Putin include și teritorii de la granița cu România
Mitul medieval care ascunde una dintre cele mai profunde teorii despre sufletul uman
Mitul medieval care ascunde una dintre cele mai profunde teorii despre sufletul uman
Albert Einstein a avut dreptate: Timpul se scurge mai repede pe planeta Marte!
Albert Einstein a avut dreptate: Timpul se scurge mai repede pe planeta Marte!
Cel mai bătrân strămoș al rechinilor înota în apele Australiei pe vremea dinozaurilor
Cel mai bătrân strămoș al rechinilor înota în apele Australiei pe vremea dinozaurilor
Legendele uitate care au modelat miturile arturiene: Iosif din Arimateea și primii Vânători ai Graalului
Legendele uitate care au modelat miturile arturiene: Iosif din Arimateea și primii Vânători ai Graalului
Cum îi sprijinim pe cei care au pierdut pe cineva drag ori sunt la final de viață? Ghid empatic, bazat pe psihologie
Cum îi sprijinim pe cei care au pierdut pe cineva drag ori sunt la final de viață? Ghid empatic, bazat pe psihologie
Gardieni, creatori și simboluri ale puterii: Dragonii nu au fost întotdeauna personaje negative
Gardieni, creatori și simboluri ale puterii: Dragonii nu au fost întotdeauna personaje negative
Ce se întâmplă cu creierul atunci când lucrezi în echipă?
Ce se întâmplă cu creierul atunci când lucrezi în echipă?
Locul în care trăiești influențează ce greutate ai, arată un nou studiu
Locul în care trăiești influențează ce greutate ai, arată un nou studiu
Test de cultură. Care fasole este toxică atunci când este mâncată crudă?
Test de cultură. Care fasole este toxică atunci când este mâncată crudă?
JWST a descoperit o galaxie spirală asemănătoare Căii Lactee undeva unde nu ar trebui să existe
JWST a descoperit o galaxie spirală asemănătoare Căii Lactee undeva unde nu ar trebui să existe
Un cosmonaut rus, eliminat dintr-o misiune care trebuia să ajungă la Stația Spațială Internațională. Ce s-a întâmplat?
Un cosmonaut rus, eliminat dintr-o misiune care trebuia să ajungă la Stația Spațială Internațională. Ce s-a întâmplat?
Un magician a uitat parola cipului implantat în propriul corp
Un magician a uitat parola cipului implantat în propriul corp
10 obiceiuri prin care putem încetini îmbătrânirea corpului nostru
10 obiceiuri prin care putem încetini îmbătrânirea corpului nostru
Ziua în care Alexandru Ioan Cuza a introdus învăţământul obligatoriu şi gratuit. Ce păţeau părinţii care nu se supuneau legii
Ziua în care Alexandru Ioan Cuza a introdus învăţământul obligatoriu şi gratuit. Ce păţeau părinţii care nu se ...
20 de lucruri uimitoare despre creierul uman
20 de lucruri uimitoare despre creierul uman