Home » D:News » Caz medical neobișnuit. Un adolescent s-a prezentat la spital din cauza unui ac de croitorie care i-a intrat în inimă

Caz medical neobișnuit. Un adolescent s-a prezentat la spital din cauza unui ac de croitorie care i-a intrat în inimă

Caz medical neobișnuit. Un adolescent s-a prezentat la spital din cauza unui ac de croitorie care i-a intrat în inimă
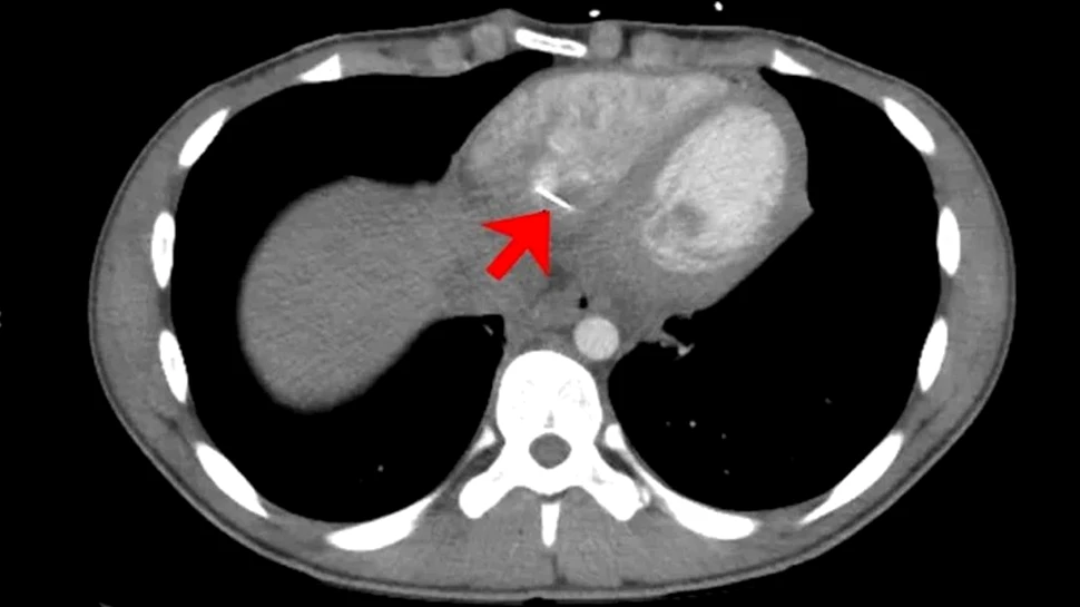
Credit foto: Mathews et al., TJEM, 2020
Publicat: 02.09.2020

Adolescentul s-a prezentat la spital cu dureri în zona pieptului.

Un adolescent de 17 ani s-a prezentat la camera de gardă a unui spital, acuzând dureri în zona pieptului, acestea instalându-se deja de trei zile. Acesta a spus că durerea este ascuțită, iradia de la spate și că este mai gravă atunci când se culca sau respira profund, notează Science Alert.

Rezultatele unei electrocardiograme (EKG), un test al activității electrice a inimii, au fost anormale, iar medicii au fost îngrijorați că pacientul avea pericardită, o inflamație a mușchiului cardiac și a membranei înconjurătoare. Testele de laborator au arătat, de asemenea, că adolescentul avea niveluri crescute de proteine în sângele său, acestea pot indica leziuni cardiace.

Computerul tomograf a relevat sursa problemei

O scanare computerizată a pieptului său a arătat că există un obiect „străin liniar metalic” în inima sa, după cum arată raportul medical. Obiectul avea o lungime de aproximativ 3,5 centimetri și ieșea din ventriculul drept al inimii, camera inferioară dreaptă a inimii care pompează sângele câtre plămâni.

Pacientul le-a spus inițial medicilor că nu a ingerat obiecte străine și nu a suferit traume fizice la nivelul pieptului. Dar într-un interviu ulterior, el a dezvăluit că își croiește hainele și uneori ține ace de cusut în gură. Totuși, a spus că nu era conștient că ar fi ingerat un astfel de ac.

Medicii au decis efectuarea unei intervenții medicale pe cord deschis pentru a îndepărta obiectul. Intervenția a dovedit că, obiectul din mușchiul cardiac era un ac de croitorie. Raportul a spus că literatura de specialitate prezintă cazurile unor obiecte străine au fost găsite în inimile unor pacienți înainte.

Medicii cred că acul a migrat direct din stomacul său în inima lui, deși este posibil să fi migrat dintr-un alt loc de-a lungul tractului gastro-intestinal, cum ar fi din esofagul sau intestinul subțire, după cum explică dr. Bonnie Matthews.

Citește și:

Caz medical alarmant: Ce se poate întâmpla în timpul unei supradoze de cofeină

Caz medical neobişnuit: unei femei îi creşte păr din gingii

Caz medical neobişnuit: degetele unei femei se micşorează din cauza unei afecţiuni rare

Caz medical tragic şi rar: Un bărbat a murit după ce a fost lins de câinele său

Urmărește DESCOPERĂ.ro pe
Google News și Google Showcase
Cele mai noi articole
Test de cultură. Care fasole este toxică atunci când este mâncată crudă?
Test de cultură. Care fasole este toxică atunci când este mâncată crudă?
JWST a descoperit o galaxie spirală asemănătoare Căii Lactee undeva unde nu ar trebui să existe
JWST a descoperit o galaxie spirală asemănătoare Căii Lactee undeva unde nu ar trebui să existe
10 obiceiuri prin care putem încetini îmbătrânirea corpului nostru
10 obiceiuri prin care putem încetini îmbătrânirea corpului nostru
Ziua în care Alexandru Ioan Cuza a introdus învăţământul obligatoriu şi gratuit. Ce păţeau părinţii care nu se supuneau legii
Ziua în care Alexandru Ioan Cuza a introdus învăţământul obligatoriu şi gratuit. Ce păţeau părinţii care nu se ...
20 de lucruri uimitoare despre creierul uman
20 de lucruri uimitoare despre creierul uman
Marile companii de Inteligență Artificială sunt „mai puțin reglementate decât restaurantele”
Marile companii de Inteligență Artificială sunt „mai puțin reglementate decât restaurantele”
Trei reguli pe care părinții ar trebui să le aplice în privința telefoanelor pentru copii
Trei reguli pe care părinții ar trebui să le aplice în privința telefoanelor pentru copii
Românii vor avea facturi mai mari la gaze de la 1 aprilie 2026
Românii vor avea facturi mai mari la gaze de la 1 aprilie 2026
ESA intensifică cercetarea Pământului pe măsură ce viitorul agențiilor americane devine tot mai incert
ESA intensifică cercetarea Pământului pe măsură ce viitorul agențiilor americane devine tot mai incert
Un bazin roman monumental, ascuns timp de 2.000 de ani, a fost dezgropat lângă Roma
Un bazin roman monumental, ascuns timp de 2.000 de ani, a fost dezgropat lângă Roma
Un expert spune că modelele lingvistice mari nu vor fi niciodată cu adevărat inteligente
Un expert spune că modelele lingvistice mari nu vor fi niciodată cu adevărat inteligente
PRESS RELEASE: The concept of the DraculaLand project is being launched in Romania – a private investment of over EUR 1 billion, designed to become the largest entertainment, retail, and technology destination on the continent, one that will transform the country into a new global epicenter of entertainment
PRESS RELEASE: The concept of the DraculaLand project is being launched in Romania – a private investment of over EUR 1 ...
Economia suferă din cauza că oamenii nu cumpără mai des telefoane noi, susțin unii experți
Economia suferă din cauza că oamenii nu cumpără mai des telefoane noi, susțin unii experți
ADN-ul de lup se ascunde în majoritatea câinilor, au descoperit oamenii de știință
ADN-ul de lup se ascunde în majoritatea câinilor, au descoperit oamenii de știință
Prima „hartă biblică” încă influențează modul în care percepem granițele
Prima „hartă biblică” încă influențează modul în care percepem granițele
Eleanor de Aquitania, femeia care a condus Europa din umbra
Eleanor de Aquitania, femeia care a condus Europa din umbra
„Podcast cu Prioritate” #87 by ProMotor: samsari auto, mașini cu probleme și concluziile lui Dan Babu după sute de verificări
„Podcast cu Prioritate” #87 by ProMotor: samsari auto, mașini cu probleme și concluziile lui Dan Babu după sute de ...
Robert de Boron, autorul uitat care a reinventat legenda Sfântului Graal
Robert de Boron, autorul uitat care a reinventat legenda Sfântului Graal