Înapoi la articol
Poza 2 / 10

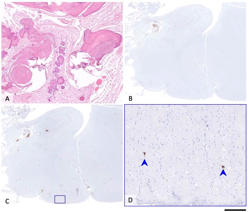
Tot mai multe dovezi arată că boala Alzheimer a fost răspândită prin tratamente care sunt astăzi interzise

Practica injectării copiilor cu hormon de creștere extras din creierele persoanelor decedate a fost abandonată demult, din motive întemeiate. Ce ne învață aceasta despre modul în care boala Alzheimer a fost răspândită? Aproximativ 200 de […]