Materialul macabru din care au fost făcute pandantive găsite în morminte din epoca de piatră
Mai multe pandantive din morminte din epoca de piatră, mici și subțiri, descoperite pe o insulă dintr-un lac rusesc în urmă cu mai bine de 80 de ani au fost reanalizate de cercetători folosind...
Citeste articolul
Știință
Apariția tumorilor uterine, declanșată de chimicalele găsite în produsele de uz zilnic
Știință
Cel mai scump medicament din lume tocmai a fost aprobat în SUA
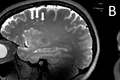
Știință
Un studiu fără precedent dezvăluie cum arată migrenele în creier
Știință
Cercetătorii au descris hidrogenul cald și dens din interiorul planetelor
Istorie
Cum a intoxicat propaganda nazistă România
Istorie
Sute de mumii și piramida unei regine necunoscute, dezgropate lângă mormântul lui Tutankhamon
Natură
Cum s-a format Marea Barieră de Corali? Originile sale misterioase, în sfârșit, explicate
Cultură
Steve Jobs, părintele Apple. „Dacă tu crezi că nu meriți, nu vei avea nimic”
D:News
Francezii au predat la poliție zeci de mii de arme de foc
D:News
Când crede Elon Musk că vor începe testele pe oameni cu cipul cerebral Neuralink?
D:News
Joe Biden, dispus să se întâlnească cu Vladimir Putin pentru a pune capăt războiului
D:News
Un grup internațional de experți a votat pentru retragerea secundei bisecte până în 2035
D:News
Țara care a lansat primul vaccin împotriva malariei din lume