Home » D:News » Cercetătorii au descoperit un nou mecanism care controlează evoluția cancerului hepatic

Cercetătorii au descoperit un nou mecanism care controlează evoluția cancerului hepatic

Cercetătorii au descoperit un nou mecanism care controlează evoluția cancerului hepatic
Credit foto: Centro Nacional de Investigaciones Cardiovasculares
Publicat: 07.07.2020

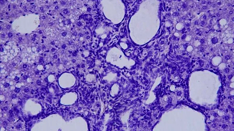
Studiul a dus la descoperirea unei proteine care atunci când este suprimată încetinește evoluția cancerului.

Statisticile arată faptul că cancerul hepatic se află pe locul cinci în topul celor mai frecvente tipuri de cancer și pe locul doi în termeni de morți la nivel mondial. Colangiocarcinomul, cel de-al doilea cel mai răspândit tip de cancer hepatic, pornește de la vezica biliară și are o evoluție asimptomatică și din această cauză pacienții ajung la medic în etapele terminale ale bolii.

Într-un studiu recent, cercetătorii de la Centrul Național de Cercetări Cardiovasculare, Spania, au descoperit un mecanism biochimic care controlează evoluția tipurilor de cancer hepatic. Oamenii de știință au identificat o proteină care atunci când este suprimată poate să încetinească dramatic evoluția acestei maladii, notează Medicalxpress.

Un model al evolutiei cancerului

Cercetătorii au putut stabili faptul că colangiocarcinomul are la bază alterarea secrețiilor vezicii biliare. Astfel, oamenii de știință au folosit o serie de șoricei ale căror țesuturi hepatice nu produceau sau conțineau proteinele JNK1 și JNK2.

„Aceste proteine sunt activate atunci când mâncăm în exces și sunt parțial responsabile pentru excesul de grăsime stocat în ficat (n.r. ficatul gras sau steatoză) și pentru dezvoltarea rezistenței la insulină”, explică dr. Guadalupe Sabio.

Analizele au demonstrat fatul că cele două proteine controlează secrețiile vezicii biliare la nivelul ficatului și sunt importante pentru asimilarea vitaminelor solubile în grăsime. „Lipsa de JNK1 și JNK2 în ficat duce la modificări ale enzimelor responsabile de metabolizarea colesterolului și a acidului biliar”, explică dr. Mora.

Excesul de secreții biliare din sânge duce, în timp, la formarea colangiocarcinomului, markerii clinici ai prezenței acestuia în cazul șoriceilor fiind similari cu cei ai oamenilor.

Deși studiul a fost efectuat pe șoareci, cercetătorii sunt de părere că concluziile pot fi extinse și asupra oamenilor. În timp aceste date ar putea duce la identificare unor modalități de diagnosticare timpurie și de tratament.

Studiul JNK-mediated disruption of bile acid homeostasis promotes intrahepatic cholangiocarcinoma a fost publicat în Proceedings of the National Academy of Sciences.

Citește și:

Oamenii de știință au reușit să distrugă celule canceroase cu ajutorul ultrasunetelor

Noi molecule puternice ar putea omorî tipurile de cancer pe care alte terapii nu le-au putut elimina

O proteină obscură, responsabilă pentru accelerarea cancerului la sân

O nouă genă a cancerului de sân, descoperită la femei foarte tinere. Ce arată studiul cercetătorilor din Danemarca

Urmărește DESCOPERĂ.ro pe
Google News și Google Showcase
Cele mai noi articole
Test de cultură. Care fasole este toxică atunci când este mâncată crudă?
Test de cultură. Care fasole este toxică atunci când este mâncată crudă?
JWST a descoperit o galaxie spirală asemănătoare Căii Lactee undeva unde nu ar trebui să existe
JWST a descoperit o galaxie spirală asemănătoare Căii Lactee undeva unde nu ar trebui să existe
10 obiceiuri prin care putem încetini îmbătrânirea corpului nostru
10 obiceiuri prin care putem încetini îmbătrânirea corpului nostru
Ziua în care Alexandru Ioan Cuza a introdus învăţământul obligatoriu şi gratuit. Ce păţeau părinţii care nu se supuneau legii
Ziua în care Alexandru Ioan Cuza a introdus învăţământul obligatoriu şi gratuit. Ce păţeau părinţii care nu se ...
20 de lucruri uimitoare despre creierul uman
20 de lucruri uimitoare despre creierul uman
Marile companii de Inteligență Artificială sunt „mai puțin reglementate decât restaurantele”
Marile companii de Inteligență Artificială sunt „mai puțin reglementate decât restaurantele”
Trei reguli pe care părinții ar trebui să le aplice în privința telefoanelor pentru copii
Trei reguli pe care părinții ar trebui să le aplice în privința telefoanelor pentru copii
Românii vor avea facturi mai mari la gaze de la 1 aprilie 2026
Românii vor avea facturi mai mari la gaze de la 1 aprilie 2026
ESA intensifică cercetarea Pământului pe măsură ce viitorul agențiilor americane devine tot mai incert
ESA intensifică cercetarea Pământului pe măsură ce viitorul agențiilor americane devine tot mai incert
Un bazin roman monumental, ascuns timp de 2.000 de ani, a fost dezgropat lângă Roma
Un bazin roman monumental, ascuns timp de 2.000 de ani, a fost dezgropat lângă Roma
Un expert spune că modelele lingvistice mari nu vor fi niciodată cu adevărat inteligente
Un expert spune că modelele lingvistice mari nu vor fi niciodată cu adevărat inteligente
PRESS RELEASE: The concept of the DraculaLand project is being launched in Romania – a private investment of over EUR 1 billion, designed to become the largest entertainment, retail, and technology destination on the continent, one that will transform the country into a new global epicenter of entertainment
PRESS RELEASE: The concept of the DraculaLand project is being launched in Romania – a private investment of over EUR 1 ...
Economia suferă din cauza că oamenii nu cumpără mai des telefoane noi, susțin unii experți
Economia suferă din cauza că oamenii nu cumpără mai des telefoane noi, susțin unii experți
ADN-ul de lup se ascunde în majoritatea câinilor, au descoperit oamenii de știință
ADN-ul de lup se ascunde în majoritatea câinilor, au descoperit oamenii de știință
Prima „hartă biblică” încă influențează modul în care percepem granițele
Prima „hartă biblică” încă influențează modul în care percepem granițele
Eleanor de Aquitania, femeia care a condus Europa din umbra
Eleanor de Aquitania, femeia care a condus Europa din umbra
„Podcast cu Prioritate” #87 by ProMotor: samsari auto, mașini cu probleme și concluziile lui Dan Babu după sute de verificări
„Podcast cu Prioritate” #87 by ProMotor: samsari auto, mașini cu probleme și concluziile lui Dan Babu după sute de ...
Robert de Boron, autorul uitat care a reinventat legenda Sfântului Graal
Robert de Boron, autorul uitat care a reinventat legenda Sfântului Graal