Home » D:News » Legătura dintre inimă şi creier, mai puternică decât ştiam

Legătura dintre inimă şi creier, mai puternică decât ştiam

Legătura dintre inimă şi creier, mai puternică decât ştiam
Publicat: 25.07.2019
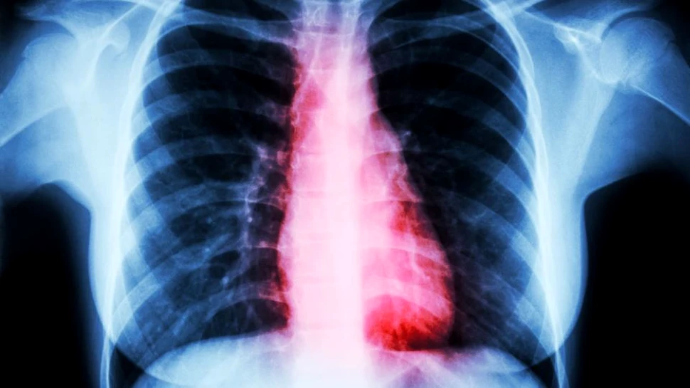
Cercetările au reuşit să demonstreze că pe măsură ce sănătatea cardiovasculară se înrăutăţeşte, exact acelaşi lucru se întâmplă şi cu memoria.

Într-unul dintre cele mai ample studii de acest tip realizate până în prezent, cercetătorii au studiat un grup de aproape 8.000 de persoane din Marea Britanie. Participanţii au avut o medie de vârstă de peste 49 de ani şi starea lor de sănătate a fost urmărită din 2002 până în 2017.

Toţi participanţii aflaţi în studiu au fost relativ sănătoşi la începutul cercetării (atât inima, cât şi creierul erau în condiţii bune de funcţionare). Persoanele cu antecedente de accident vascular cerebral, infarct miocardic, angină, demenţă sau boala Alzheimer au fost excluse.

Ulterior, după 15 ani de urmărire intensivă, aproape 6% dintre participanti suferiseră un atac de cord sau de angină (dureri toracice), potrivit unei echipe conduse de Wuxiang Xie, cercetător la Colegiul Imperial al Şcolii de Sănătate Publică din Londra.

Cercetătorii au descoperit că toţi aceşti participanţi au prezentat şi o scădere mai rapidă a funcţiilor mintale, concomitent cu tulburările cardiace.

Pacienţii care au suferit de angină pectorală au manifestat şi o scădere semnificativă a testelor de „orientare temporală”, nefiind capabili să menţioneze cu precizie data curentă, ziua săptămânii şi per total perioada temporală în care se află.

Citeşte continuarea pe CSID!

 

Urmărește DESCOPERĂ.ro pe
Google News și Google Showcase
Cele mai noi articole
Locul în care trăiești influențează ce greutate ai, arată un nou studiu
Locul în care trăiești influențează ce greutate ai, arată un nou studiu
Test de cultură. Care fasole este toxică atunci când este mâncată crudă?
Test de cultură. Care fasole este toxică atunci când este mâncată crudă?
JWST a descoperit o galaxie spirală asemănătoare Căii Lactee undeva unde nu ar trebui să existe
JWST a descoperit o galaxie spirală asemănătoare Căii Lactee undeva unde nu ar trebui să existe
10 obiceiuri prin care putem încetini îmbătrânirea corpului nostru
10 obiceiuri prin care putem încetini îmbătrânirea corpului nostru
Ziua în care Alexandru Ioan Cuza a introdus învăţământul obligatoriu şi gratuit. Ce păţeau părinţii care nu se supuneau legii
Ziua în care Alexandru Ioan Cuza a introdus învăţământul obligatoriu şi gratuit. Ce păţeau părinţii care nu se ...
20 de lucruri uimitoare despre creierul uman
20 de lucruri uimitoare despre creierul uman
Marile companii de Inteligență Artificială sunt „mai puțin reglementate decât restaurantele”
Marile companii de Inteligență Artificială sunt „mai puțin reglementate decât restaurantele”
Trei reguli pe care părinții ar trebui să le aplice în privința telefoanelor pentru copii
Trei reguli pe care părinții ar trebui să le aplice în privința telefoanelor pentru copii
Românii vor avea facturi mai mari la gaze de la 1 aprilie 2026
Românii vor avea facturi mai mari la gaze de la 1 aprilie 2026
ESA intensifică cercetarea Pământului pe măsură ce viitorul agențiilor americane devine tot mai incert
ESA intensifică cercetarea Pământului pe măsură ce viitorul agențiilor americane devine tot mai incert
Un bazin roman monumental, ascuns timp de 2.000 de ani, a fost dezgropat lângă Roma
Un bazin roman monumental, ascuns timp de 2.000 de ani, a fost dezgropat lângă Roma
Un expert spune că modelele lingvistice mari nu vor fi niciodată cu adevărat inteligente
Un expert spune că modelele lingvistice mari nu vor fi niciodată cu adevărat inteligente
PRESS RELEASE: The concept of the DraculaLand project is being launched in Romania – a private investment of over EUR 1 billion, designed to become the largest entertainment, retail, and technology destination on the continent, one that will transform the country into a new global epicenter of entertainment
PRESS RELEASE: The concept of the DraculaLand project is being launched in Romania – a private investment of over EUR 1 ...
Economia suferă din cauza că oamenii nu cumpără mai des telefoane noi, susțin unii experți
Economia suferă din cauza că oamenii nu cumpără mai des telefoane noi, susțin unii experți
ADN-ul de lup se ascunde în majoritatea câinilor, au descoperit oamenii de știință
ADN-ul de lup se ascunde în majoritatea câinilor, au descoperit oamenii de știință
Prima „hartă biblică” încă influențează modul în care percepem granițele
Prima „hartă biblică” încă influențează modul în care percepem granițele
Eleanor de Aquitania, femeia care a condus Europa din umbra
Eleanor de Aquitania, femeia care a condus Europa din umbra
„Podcast cu Prioritate” #87 by ProMotor: samsari auto, mașini cu probleme și concluziile lui Dan Babu după sute de verificări
„Podcast cu Prioritate” #87 by ProMotor: samsari auto, mașini cu probleme și concluziile lui Dan Babu după sute de ...