„Pot spune multe despre stilul de viaţă al cuiva privindu-i faţa, inclusiv ce mănâncă de obicei şi cât de mult bea sau fumează”, spune dr. Tabi Leslie, dermatolog şi purtător de cuvânt al British Skin Foundation. Dar şi nivelul de activitate fizică, sub forma activităţilor sportive, îşi pune amprenta asupra feţei, ca şi somnul, soarele, computerul… Iată, mai jos, o listă de semne grăitoare prin care faţa şi zonele din jur ne comunică – sau ne avertizează – că ar trebui să luăm unele măsuri. Unele dintre informaţii pot părea, la prima vedere, contradictorii. Trebuie să facem exerciţii fizice sau nu facem? Să stăm la soare sau nu? La o doua privire, se vede bine că, în toate recomandările specialiştilor, principiul-cheie este moderaţia. Sau, cum se zice, tot ce este „prea” strică. Evident, dacă schimbărle în stilul de viaţă nu dau rezultate, dacă problemele persistă sau se agravează, trebuie neapărat consultat medicul.

Faţă slabă şi „trasă”
Cauze posibile: excesul de exerciţii fizice, diete yo-yo
Cu toate că execiţiile fizice sunt esenţiale pentru sănătatea corpului şi a pielii, practicarea lor în exces poate avea ca efect nişte obraji „căzuţi”, spune dr. Aamer Khan, director al Harley Street Skin Clinic.
„Aspectul este cunoscut sub numele de «faţa alergătorului», dar orice tip de exerciţiu cardiovascular – care măreşte ritmul bătăilor inimii – practicat în exces, poate duce la acelaşi efect; cicliştii arată şi ei aşa. Explicaţia? „Iniţial, când înceapă să alergi, faţa se înroşeşte deoarece vasele de sânge se dilată pentru a asigura alimentarea cu oxigen a întregului corp. Dar, după 15 minute, pe măsură ce muşchii încep să aibă nevoie de mai mult oxigen, sângele începe să fie retras de la nivelul feţei, ceea ce înseamnă că ţesutul adipos de la nivelul obrajilor este lipsit de oxigen şi, treptat, moare.”
„Dacă alergi foarte mult, vei avea o inimă şi plămâni foarte sănătoşi, dar îţi vei pierde rotunjimea obrajilor şi vei arăta tras(ă) la faţă.”
Acest efect poate fi evitat variind tipurile de activitate fizică, practicând diferite tipuri de exerciţii, precum antrenamentul cu greutăţi sau yoga.
Renunţarea la fumat va avea şi ea efect benefic, adaugă medicul, deoarece toxinele din ţigări afectează şi ele alimentarea cu sânge a ţesutului adipos din obraji, ducând la aspectul slăbit la feţei.
Şi, de asemenea, evitaţi dietele drastice la modă, deoarece acestea îşi pot pune amprenta asupra înfăţişării, spune dermatologul dr. Nick Lowe de la Clinica Cranley.
„Cei care ţin intermitent cure de slăbire – aşa-zisele diete yo-yo – pierd în mod regulat în greutate, iar apoi pun rapid kilogramele la loc. Aceste fluctuaţii rapide ale greutăţii fac ca pielea să se întindă şi să-şi piardă elasticitatea, aşa că veţi începe să aveţi pielea obrajilor lăbărţată şi căzută.”
Faţa umflată şi obrajii căzuţi
Cauze posibile: alcoolul, lipsa de exerciţiu fizic.
Alcoolul este unul dintre cei mai mari duşmani ai feţei. Dr. Michael Prager, chirurg plastician, spune că tratează din ce în ce mai multe femei ale căror feţe au căpătat un aspect umflat, palid şi ridat, din cauza obiceiului, foarte răspândit, de a bea vin în fiecare seară.
„[Aceste femei] îmi spun adesea: «mama mea arăta aşa de bine când avea vârsta mea de acum! Nu înţeleg de ce eu arăt aşa de bătrână.» Iar eu le spun că, probabil, mamele lor nu beau aşa de mult.”

Dr. Michael Prager spune că alcoolul „stresează organismul, determinând producerea hromonului numit cortizol.” Acest hormon face ca în zona feţei să se depună mai multă grăsime, determinând totodată retenţia de apă la nivelul obrajilor; ca urmare, faţa apare umflată.
Mai mult, se ştie că alcoolul suprastimulează glandele salivare parotide, aflate de fiecare parte a feţei, la punctul de întâlnire a maxilarului inferior cu gâtul, adaugă dr. Khan. „Consumul de alcool în exces face ca aceste glande să-şi mărească dimensiunile, ceea ce face ca faţa să pară mai lată. Dacă renunţaţi la alcool sau reduceţi drastic consumul, veţi observa curând o îmbunătăţire sub acest aspect.”
Multe băuturi alcoolice conţin, de fapt, cca. 50% zaharuri şi există tot mai multe dovezi ale faptului că un consum ridicat de zaharuri îmbătrâneşte pielea, datorită unui proces numit glicozilare. Moleculele produse în cursul metabolizării zaharurilor încetinesc producţia de fibre de colagen şi elastină, structura de susţinere a pielii.
„Faţa devine căzută, îşi pierde elasticitatea, musculatura şi forma, în general, aşa că arată lăţită”, spune dr. Prager. „Între 20 şi 30 de ani nu prea se cunoaşte, dar dacă veţi continua să beţi tot aşa de mult, până la 40 de ani vătămarea va fi ireversibilă.”
Exerciţiile fizice regulate sunt, de asemenea, esenţiale pentru păstrarea aspectului tineresc şi sănătos al pielii feţei.
În 2010, cercetătorii de la Universitatea St. Andrews au realizat imagini ale feţelor unor persoane, aşa cum ar fi arătat acestea peste 20 de ani dacă nu făceau exerciţii fizice. Oamenii inactivi fizic au un risc mai mare de a avea pielea de pe gât lăsată şi de a depune grăsime pe frunte şi în jurul ochilor. Exerciţiul fizic (dar nu în exces, după cum am menţionat) ajută la păstrarea fluxului normal de sânge la nivelul pielii, menţinând producţia de colagen.
Riduri
Cauza posibilă: faptul că nu se foloseşte cremă de protecţie solară.
Poţi spune ce anume a produs anumite riduri doar privindu-le, afirmă Chris Griffiths, profesor de dermatologie la Universitatea din Manchester şi specialist în problemele îmbătrânirii. „Ridurile fine, ca nişte încreţituri, apar cu vârsta, dar ridurile aspre, mai adânci, apar de obicei din cauza soarelui.”

Dr. Aamer Khan adaugă că ridurile de sub ochi sunt, adesea, un semn că persoana respectivă petrece prea mult timp la soare. Pe faţă, zonele de sub ochi sunt cele mai afectate; acolo pielea este mai subţire şi mai vulnerabilă la apariţia ridurilor.
Ten palid
Cauze posibile: consum insuficient de legume şi fructe, exces de greutate.
Anul trecut, cercetătorii de la Universitatea St. Andrews au arătat că un consum de numai 3 porţii de fructe şi legume pe zi dă pielii o strălucire sănătoasă, în doar câteva săptămâni. După cum explică Ross Whitehead, cercetător la această universitate, fructele şi legumele conţin pigmenţi numiţi carotenoizi, care se depozitează în piele, dându-i o culoare sănătoasă.

El adaugă că o persoană supraponderală trebuie să consume mai multe fructe şi legume pentrua obţine acest efect. Pigmenţii carotenoizi sunt solubili în grăsimi, aşa că sunt absorbiţi de grăsimea din corp; e nevoie de cantităţi mai mari pentru a se depozita şi la nivelul pielii.
De asemenea, o îmbujorare naturală a obrajilor poate fi semnul unei bune sănătăţi cardiovasculare, spune Whitehead. Sângele oxigenat are o culoare mai intensă decât cel neoxigenat; dacă cineva face exerciţii fizice şi are o inimă sănătoasă, poate avea o îmbujorare permanentă a obrajilor, în vreme ce un ten palid poate indica faptul că persoana respectivă nu face destulă mişcare.
Dungi de culoare închisă pe gât
Cauza posibilă: excesul de zahăr în alimentaţie
Porţiunile de piele brun-cenuşie pe gât (dar care pot apărea şi în alte regiuni ale corpului) pot să arate ca nişte dungi de murdărie, dar nu sunt întotdeauna asta: ele pot fi un semn care avertizează asupra riscului de apariţie a diabetului de tip 2, asociat cu consumul de alimente bogate în carbohidraţi; manifestarea se numeşte acanthosis nigricans şi este cel mai adesea corelată cu un nivel ridicat de insulină, hormonul implicat în metabolizarea zaharurilor.

Iniţial, aceste semne pot fi discrete, dar, dacă nu este tratată cauza, se pot întinde pe tot gâtul. „Este în mare măsură un simptom asociat cu obezitatea şi diabetul şi tinde să apară la nivelul axilelor (foto) şi uneori al gâtului”, spune dr. David Price, specialist în diabet la spitalul Morriston din Swansea. ”Prezenţa lui sugerează că insulina nu îşi face treaba aşa cum ar trebui; de aceea, corpul este nevoit să producă mult mai multă decât normal. Scăderea în greutate este cel mai bun tratament pentru această problemă.”
Piele roşiatică
Cauze posibile: cafeina, lipsa luminii solare
Dr. Aamer Khan afirmă că abuzul de cafea poate deshidrata pielea, dându-o i nuanţă roşiatică şi un aspect uscat. „Dacă beţi mai mult de trei ceşti pe zi, aveţi nevoie, pentru fiecare, de un pahar de apă în plus, pentru a contracara efectele.”
Nivelurile scăzute de vitamina D, care se formează în piele sub influenţa luminii solare, pot de asemenea determina nuanţa roşiatică a feţei; vitamina D este esenţială pentru formarea de noi celule ale pielii, aşa că o carenţă a acestei vitamine poate face ca pielea să fie descuamată şi roşiatică.
Coşuri
Cauze posibile: consumul ridicat de lactate şi regimurile de slăbire tip Atkins (cu conţinut scăzut de carbohidraţi)
Astăzi, este larg acceptat faptul că acneea este, în mare măsurăă, o afecţiune al cărei substrat este mai curând genetic decât determinat de stilul de viaţă.

„Totuşi, există tot mai multe dovezi că, în unele cazuri, excesul de produse lactate sau alimentaţia hipercalorică poate fi un factor care contribuie la agravarea problemei”, spune dr. Leslie.
Cauzele nu sunt foarte lămurite, dar unii specialişti sugerează că ar fi implicată o o substanţă numită factor de creştere insulinic-1, care se găseşte în lapte (şi în mod natural în organismul uman).
Dr. Khan adaugă că şi regimurile de slăbire de tip Atkins, bogate în proteine şi sărace în carbohidraţi, pot fi de vină.
„Proteinele conţin anumiţi aminoacizi care stimulează producţia unor hormoni precum testosteronul, ce poate favoriza acneea. O dietă bogată în acizi omega-3 (întâlniţi în peştele gras precum somon sau macrou), fructe şi legume proaspete este considerată cel mai bun mijloc de a preveni sau diminua acneea.”
Crăpături la colţurile gurii
Cauza posibilă: consumul insuficient de legume şi fructe
Diferitele vitamine B care se găsesc în aceste alimente au proprietăţi anti-inflamatoarei, iar consumul insuficient de verdeţuri – care duce la carenţe de vitamine B – poate cauza iritarea pielii la colţurile gurii şi apariţia crăpăturilor – stomatită angulară, spune dr. Leslie.
Iar crăparea buzelor, în general, poate fi datorată unei lipse de vitamina C.
Atât vitamina C, cât şi multe vitamine din grupul B se găsesc în produse de origine vegetală; de exemplu vitamine B în mazăre şi cereale integrale, iar vitamina C în citrice şi ardei graşi.
Dinţi tociţi
Cauze posibile: stresul, mâncărurile grase şi condimentate
Pare un simptom cam ciudat, dar dentiştii, care văd multe la viaţa lor, au de-a face şi cu asemenea cazuri.
„Vârsta dentară a unei persoane poate fi foarte diferită de vârsta sa coronologică”, spune dr. Ben Atkins, stomatolog la clinica Revive Dental Care din Manchester.
Stresul îi poate face pe oameni să scrâşnească din dinţi, uneori ziua, dar cel mai frecvent noaptea, în timpul somnului, în mod inconştient; fenomenul se numeşte bruxism şi poate duce, în timp, la tocirea dinţilor, la micşorarea vizibilă a lungimii lor.
„De multe ori oamenii nici nu-şi dau seama că o fac. Am văzut persoane care îşi pierduseră 50-80% din lungimea dinţilor din cauza acestui fenomen, ceea ce duce şi la micşorarea înălţimii feţei”
Pentru a remedia situaţia, pot fi purtate în gură, în timpul somnului, nişte aparate dentare speciale, dar dr. Atkins insistă că este esenţial să fie tratată cauza stresului.
Alţi factori care contribuie la tocirea dinţilor, spune el, sunt consumul excesiv de alcool şi hiperaciditatea gastrică. În acest din urmă caz, secreţia de suc gastric este excesiv de acidă (adesea ca urmare a consumului de mâncăruri prea grase şi picante); dacă valva care, în mod normal, închide trecerea dintre esofag şi stomac, nu funcţionează corect, se poate produce aşa-numitul reflux gastro-esofagian: conţinutul gastric acid ajunge în gură, unde poate produce eroziunea dinţilor.
Gingii palide şi care au tendinţa de a se retrage, dezgolind partea de sus a dinţilor
Cauza posibilă: fumatul
După cum explică dr. Atkins, „fumatul reduce irigarea cu sânge a gingiilor, iar acestea au tendinţa să se retracte şi să capete un aspect palid şi parcă «pielos» – e ca şi cum ai afuma un peşte. În linii, mari asta se întâmplă în gură atunci când fumezi.”
Ochi lăcrimoşi
Cauze posibile: prea mult timp petrecut în faţa ecranului; lipsă de somn
În lipsa oricărei cauze emoţionale care să ne facă să plângem ori a substanţelor iritante, lăcrimarea ochilor poate fi, în mod paradoxal, un semn că suferi, de fapt , de uscăciune excesivă a globilor oculari: glandele lacrimale reacţionează producând secreţie lacrimală în exces, explică dr. Shamina Asif, de la Colegiul de Optometrie.
De multe ori, acest lucru se întâmplă din cauză că petrecem prea mult timp în faţa ecranului computerului. Când ne concentrăm asupra ecranului, clipim mai rar; or, tocmai clipitul este cel care stimulează secreţia lacrimală şi lubrifiază ochiul, spune ea.
„Şi lipsa de somn contribuie la uscarea ochilor – în timpul somnului, ochii se auto-repară şi produc fluid lacrimal.”
„Dacă suferiţi de uscăciune a ochilor, aveţi grijă să luaţi regulat pauze de la activitatea în faţa ecranului şi să vă amintiţi, în mod conştient, să clipiţi regulat. De asemenea, beţi multă apă, ca să rămâneţi bine hidrataţi.”
Cearcăne întunecate
Cauze posibile: alimentaţie vegetariană, lipsă de somn
O carenţă de fier – anemie – poate fi cauza apariţiei de cearcăne întunecate sub ochi, sugerează dr. Aamer Khan. Este o problemă care apare des în cazul vegetarienilor, deoarece carnea este o sursă majoră de fier. ”Fierul este necesar pentru reînnoirea ţesuturilor, aşa că un deficit de fier încetineşte crearea de celule noi ale pielii şi poate face faţa să arate palidă şi cu cearcăne întunecate sub ochi.” În plus, adaugă dr. Khan, oboseala poate face ca vasele din pielea feţei să se dilate. Pielea de sub ochi este foarte subţire, aşa că nuanţa albăstruie a vaselor sanguine transpare prin piele, făcând cearcănele să pară şi mai închise la culoare.
Cercuri în jurul irisului şi proeminenţe pe pleoape
Cauza posibilă: alimentaţia bogată în grăsimi
Inelele alburii care par în jurul irisului, cunoscute sub denumirea de arcus senilis, ca şi micile umflături galbene din zona pleoapelor, numite xanthelasma, pot fi semne ale hipercolesterolemiei (nivel mare de colesterol în sânge), care este adesea corelată cu o alimentaţie prea bogată în grăsimi. Excesul de colesterol se depozitează în zona ochilor.
„Studiile au arătat că persoanele care prezintă arcus senilis şi xanthelasma au un risc crescut de apariţie a bolilor de inimă”, spune Shamina Asif; ea recomandă ca, în cazul în care cineva îşi face griji în privinţa colesterolului, să meargă neapărat la doctor, ca să primească recomandările necesare pentru a corecta problema.
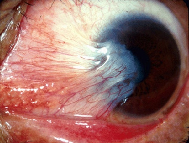
Pete sidefii pe globul ocular
Cauza posibilă: faptul că nu purtaţi ochelari de soare atunci când ar fi cazul
Dacă nu vă protejaţi ochii de soarele puternic, riscaţi să vă alegeţi cu o afecţiune numită pinguecula. Pe globul ocular, la marginea irisului, apare o pată sau băşică alb-gălbuie, sidefie, situată către parte dinspre nas a ochiului.
În general, este o problemă minoră, care nu provoacă necazuri; în rare cazuri se poate extinde până când începe să afecteze claritatea vederii. Dacă produce iritaţii, acestea pot fi tratate cu picături speciale pentru ochi sau cu preparate cu steroizi.
Dacă pata sidefie se întinde spre cornee, având o formă oarecum triunghiulară, atunci poate fi vorba despre pterigyium (foto) – afecţiune numită popular „ochiul surferului”, deoarece apare mai des la persoane care sunt expuse intens la ultraviolete, precum sportivii menţionaţi. Pterigyium-ul poate afecta vederea; la nevoie, poate fi tratat chirugical, sub anestezie locală.

Atât pinguecula, cât şi pterygium sunt afecţiuni destul de comune – văd cazuri în fiecare zi”, spune Shamina Asif.
„Radiaţiile ultraviolete sunt unul dintre principalii factori de risc, aşa că e important să purtaţi ochelari de soare pentru a preveni apariţia acestor probleme sau a le împiedica să se agraveze.”
După cum vedeţi, ce mâncăm sau nu mâncăm, ce purtăm sau nu purtăm, efortul fizic prea mic ori prea mare pe care îl depunem, toate lasă urme pe chipul nostru şi ne trădează felul de a trăi. Să încercăm să vedem partea bună a lucrurilor: dacă, privindu-ne faţa în oglindă, aşa cum obişnuim să facem foarte des, descifrăm la vreme semnele prevestitoare, putem împiedica apariţia unor necazuri mult mai mai mari în viitor.
