Home » Știință » Pielea umană artificială deschide calea către o nouă terapie împotriva cancerului de piele

Pielea umană artificială deschide calea către o nouă terapie împotriva cancerului de piele

Pielea umană artificială deschide calea către o nouă terapie împotriva cancerului de piele
Sursa foto: Universitatea din Copenhaga
Publicat: 01.02.2023

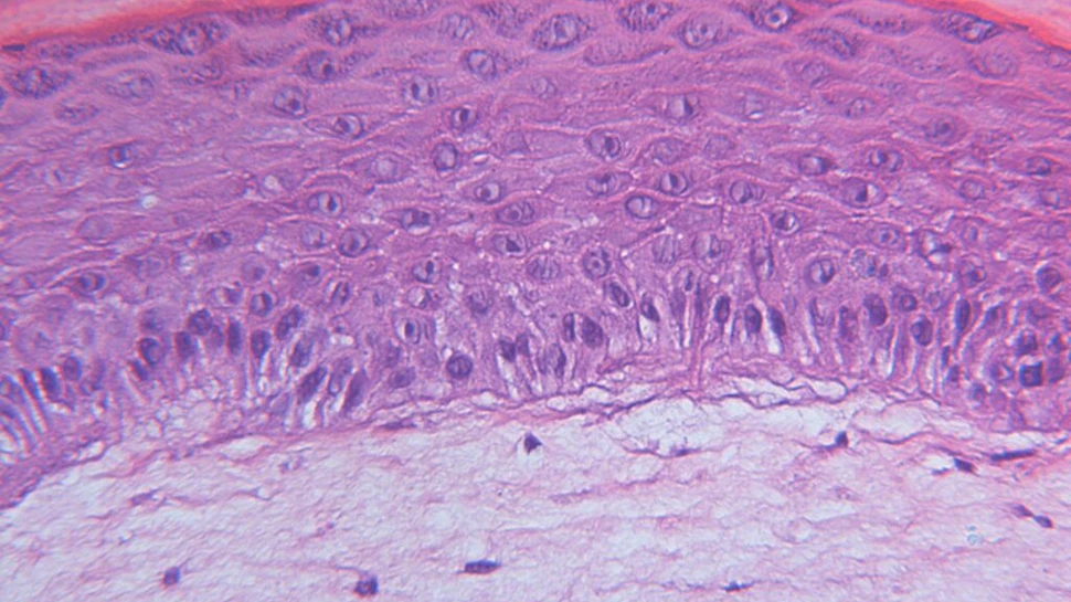
Folosind piele umană artificială, un grup de cercetare de la Universitatea din Copenhaga a reușit să blocheze creșterea invazivă într-un model de cancer de piele.

Studiul analizează ce se întâmplă de fapt atunci când o celulă se transformă într-o celulă canceroasă.

„Am studiat una dintre căile de semnalizare a celulelor, așa-numita cale TGF beta. Această cale joacă un rol esențial în comunicarea celulei cu mediul înconjurător și controlează, de exemplu, creșterea și diviziunea celulară. Dacă aceste mecanisme sunt afectate, celula se poate transforma într-o celulă canceroasă și poate invada țesutul înconjurător”, explică profesorul și șeful echipei Hans Wandall de la Departamentul de Medicină Celulară și Moleculară al Universității din Copenhaga.

În condiții normale, celulele pielii nu vor începe pur și simplu să invadeze hipodermul și să facă ravagii. În schimb, ele vor produce un nou strat de piele. Dar atunci când apar celulele canceroase, celulele nu mai respectă limitele dintre straturile de piele și încep să se invadeze reciproc. Acest lucru se numește creștere invazivă.

Ce se întâmplă atunci când o celulă devine canceroasă?

Hans Wandall și colegii săi au studiat calea TGF beta și au aplicat metode de blocare a creșterii invazive și, astfel, de limitare a creșterii invazive în cazul cancerului de piele.

„Avem deja diverse medicamente care pot bloca aceste căi de semnalizare și care pot fi folosite în teste. Am folosit unele dintre ele în acest studiu”, explică Sally Dabelsteen, profesor asociat și co-autor al studiului, de la Facultatea de Stomatologie.

„Unele dintre aceste medicamente au fost deja testate pe oameni, iar altele sunt în curs de a fi testate în legătură cu alte tipuri de cancer. Ele ar putea fi testate, de asemenea, în mod specific pe cancerul de piele.”

Pielea artificială folosită de cercetători în noul studiu constă în celule de piele umană artificiale, manipulate genetic. Celulele pielii sunt produse pe un țesut subcutanat alcătuit din colagen. Acest lucru face ca celulele să crească în straturi, la fel ca pielea umană reală.

Pielea artificială, tot mai apropiată de pielea umană reală

Spre deosebire de modelele de șoareci, modelul de piele, care este un alt cuvânt pentru piele artificială, permite cercetătorilor să introducă modificări genetice artificiale relativ rapid, ceea ce oferă informații despre sistemele care susțin dezvoltarea și reînnoirea pielii.

În acest fel, ei pot, de asemenea, să reproducă și să urmărească dezvoltarea altor afecțiuni ale pielii, nu doar a cancerului de piele.

„Prin utilizarea pielii umane artificiale am depășit obstacolul potențial problematic de a ști dacă rezultatele testelor efectuate pe modele de șoareci pot fi transferate la țesutul uman. Anterior, am folosit modele de șoareci în majoritatea studiilor de acest gen. În schimb, acum putem concluziona că aceste substanțe probabil nu sunt dăunătoare și că ar putea funcționa în practică, deoarece pielea artificială înseamnă că suntem mai aproape de realitatea umană”, spune Hans Wandall.

Pielea artificială, folosită pentru testarea produselor cosmetice în UE

Pielea artificială folosită de cercetători seamănă cu pielea folosită pentru testarea produselor cosmetice în UE, care a interzis testarea pe animale în 2004. Cu toate acestea, pielea artificială nu le permite cercetătorilor să testeze efectul unui medicament asupra întregului organism, subliniază Hans Wandall, scrie EurekAlert.

Modele de piele precum cel folosit aici au fost folosite de companiile de produse cosmetice încă de la mijlocul anilor 1980.

„Putem studia efectul concentrându-ne asupra organului individual – pielea – și atunci culegem experiențe în ceea ce privește modul în care funcționează moleculele, în timp ce căutăm să determinăm dacă acestea afectează structura pielii și celulele sănătoase ale pielii”, spune el.

Studiul a fost publicat în Science Signaling.

Vă recomandăm să mai citiți și:

O țară va încerca tratamentul cu fascicule de protoni împotriva cancerului de sân

Un vaccin experimental împotriva cancerului distruge tumorile existente și previne apariția altora

Un consum excesiv de carne cu nitriți crește riscul de cancer, spun cercetătorii

O enzimă care ne protejează împotriva virusurilor ar putea alimenta evoluția cancerului

Mihaela Horchidan
Mihaela Horchidan
Mihaela și-a finalizat studiile la Facultatea de Jurnalism și Științele Comunicării din cadrul Universității din București, având experiență în presa online și radio. Curiozitatea, dorința de a afla cât mai multe și pasiunea pentru istorie, ştiinţă şi natură au condus-o către Descopera.ro citește mai mult
Urmărește DESCOPERĂ.ro pe
Google News și Google Showcase
Cele mai noi articole
Un cosmonaut rus, eliminat dintr-o misiune care trebuia să ajungă la Stația Spațială Internațională. Ce s-a întâmplat?
Un cosmonaut rus, eliminat dintr-o misiune care trebuia să ajungă la Stația Spațială Internațională. Ce s-a întâmplat?
Un magician a uitat parola cipului implantat în propriul corp
Un magician a uitat parola cipului implantat în propriul corp
10 obiceiuri prin care putem încetini îmbătrânirea corpului nostru
10 obiceiuri prin care putem încetini îmbătrânirea corpului nostru
Ziua în care Alexandru Ioan Cuza a introdus învăţământul obligatoriu şi gratuit. Ce păţeau părinţii care nu se supuneau legii
Ziua în care Alexandru Ioan Cuza a introdus învăţământul obligatoriu şi gratuit. Ce păţeau părinţii care nu se ...
20 de lucruri uimitoare despre creierul uman
20 de lucruri uimitoare despre creierul uman
Marile companii de Inteligență Artificială sunt „mai puțin reglementate decât restaurantele”
Marile companii de Inteligență Artificială sunt „mai puțin reglementate decât restaurantele”
Trei reguli pe care părinții ar trebui să le aplice în privința telefoanelor pentru copii
Trei reguli pe care părinții ar trebui să le aplice în privința telefoanelor pentru copii
Românii vor avea facturi mai mari la gaze de la 1 aprilie 2026
Românii vor avea facturi mai mari la gaze de la 1 aprilie 2026
Un bazin roman monumental, ascuns timp de 2.000 de ani, a fost dezgropat lângă Roma
Un bazin roman monumental, ascuns timp de 2.000 de ani, a fost dezgropat lângă Roma
PRESS RELEASE: The concept of the DraculaLand project is being launched in Romania – a private investment of over EUR 1 billion, designed to become the largest entertainment, retail, and technology destination on the continent, one that will transform the country into a new global epicenter of entertainment
PRESS RELEASE: The concept of the DraculaLand project is being launched in Romania – a private investment of over EUR 1 ...
Economia suferă din cauza că oamenii nu cumpără mai des telefoane noi, susțin unii experți
Economia suferă din cauza că oamenii nu cumpără mai des telefoane noi, susțin unii experți
ADN-ul de lup se ascunde în majoritatea câinilor, au descoperit oamenii de știință
ADN-ul de lup se ascunde în majoritatea câinilor, au descoperit oamenii de știință
Prima „hartă biblică” încă influențează modul în care percepem granițele
Prima „hartă biblică” încă influențează modul în care percepem granițele
Eleanor de Aquitania, femeia care a condus Europa din umbra
Eleanor de Aquitania, femeia care a condus Europa din umbra
„Podcast cu Prioritate” #87 by ProMotor: samsari auto, mașini cu probleme și concluziile lui Dan Babu după sute de verificări
„Podcast cu Prioritate” #87 by ProMotor: samsari auto, mașini cu probleme și concluziile lui Dan Babu după sute de ...
Robert de Boron, autorul uitat care a reinventat legenda Sfântului Graal
Robert de Boron, autorul uitat care a reinventat legenda Sfântului Graal
De ce ni se pare că „simțim” durere atunci când vedem pe cineva rănit?
De ce ni se pare că „simțim” durere atunci când vedem pe cineva rănit?
Celulele umane îmbătrânite pot fi „reîncărcate”, au descoperit cercetătorii
Celulele umane îmbătrânite pot fi „reîncărcate”, au descoperit cercetătorii