Home » Știință » Cancerul mamar, stopat în 11 zile printr-un nou tratament experimental care dă rezultate uimitoare

Cancerul mamar, stopat în 11 zile printr-un nou tratament experimental care dă rezultate uimitoare

Cancerul mamar, stopat în 11 zile printr-un nou tratament experimental care dă rezultate uimitoare
Publicat: 12.03.2016
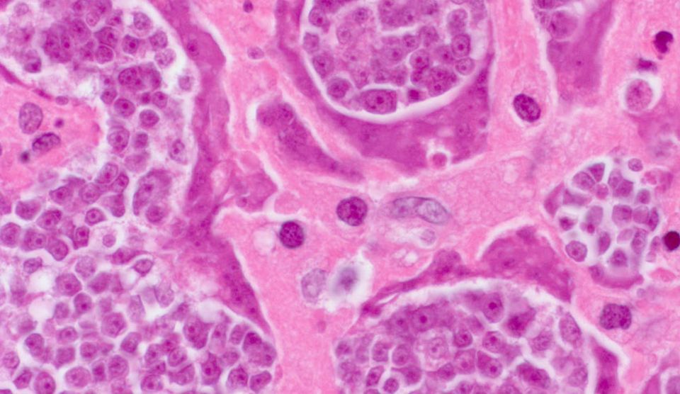
Cercetătorii britanici de la Universitatea din Manchester au găsit un nou tratament experimental cu rezultate deosebite în tratarea uneia dintre cele mai agresive forme de cancer mamar, ducând la stoparea bolii, acesta putând revoluţiona viitorul combaterii afecţiunii, potrivit The Telegraph.

Cercetătorii britanici au rămas uimiţi de un nou tratament experimental cu rezultate deosebite în tratarea uneia dintre cele mai agresive forme de cancer mamar şi care ar putea revoluţiona viitorul combaterii acestei boli.

Potrivit testelor de laborator, această nouă terapie anti-cancer a distrus tumorile în doar 11 zile. Experţii au declarat că este pentru prima oară când boala necruţătoare a avut astfel de răspuns la tratament.

Aceştia au sugerat chiar că rezultatele în rândul femeilor care suferă de una dintre cele mai agresive forme de cancer mamar ar putea revoluţiona viitorul tratament al altor forme de cancer.

Tratamentul care constă într-o combinaţie de medicamente – cu o valoare de aproximativ 1.500 de lire sterline – a distrus în totalitate tumorile care ajungeau până la dimensiuni de 3 cm.

Descoperirile vor face posibil ca în viitor mii de femei să nu mai treacă prin sesiunile extenuante de chimioterapie care sunt prescrise, în mod normal, după operaţii.

Femeile din Marea Britanie care au primit acest tratament sufereau de una dintre cele mai agresive forme de cancer mamar – HER2 pozitiv. Acestora le-a fost administrată o combinaţie a unor medicamente speciale.

Aproape 9 din 10 femei au arătat un răspuns pozitiv la tratament – însemnând că numărul celulelor canceroase a început să scadă. Într-un caz din patru, cocktailul de medicamente a produs micşorarea semnificativă a tumorilor, iar în anumite cazuri, acestea au dispărut total.

Medicamentul s-a dovedit eficient şi în cazurile în care boala s-a răspândit şi la noduilii limfatici, potrivit studiului prezentat la Conferinţa Europeană pentru Cancer Mamar din Amsterdam.

Cercetătorii au declarat că pacienţii care au făcut parte din acest experiment au rămas uluiţi de efectul revoluţional al combinaţiei celor două tipuri de medicament – Herceptin, medicamentul stanard pentru acest tip de cancer şi un altul numit Tyverb.

Liderul echipei de cercetare profesorul de chirurgie oncologică Nigel Bundred de la Universitatea din Manchester a declarat: „Nu s-a mai întâmplat vreodată ca tumorile să dispară în 11 zile. Sunt rezultate de-a dreptul uluitoare”.

Studiul, finanţat de Cancer Research, Marea Britanie, a fost condus de Universitatea din Manchester şi Fundaţia NHS a Spitalului Universitar din Sudul Manchesterului pe 257 de pacienţi bolnavi de cancer urmărind efectul combinaţiei celor două medicamente.

Oamenii de ştiinţă au vrut să vadă modul în care noua combinaţie combate celulele canceroase şi să măsoare nivelul de micşorare a tumorilor. După 11 zile, medicii au descoperit că în multe cazuri, celulele canceroase fie au dispărut, fie au avut o reducere însemnată a dimensiunii. De obicei sunt necesare câteva luni sau câţiva ani ca tumorile să răspundă la tratament. 87% dintre aceşti pacienţi au răspuns la noul tratament. Mai mult decât atât, 27% dintre aceştia au „răspuns nesperat de bine”, a declarat profesorul Nigel Bundred, care a precizat: „Suntem destul de convinşi că nu dispar doar tumorile – ci avem şi un răspuns al sistemului imunitar”.

Medicii au mai spus că nu este extrem de clar la acest moment modul în care funcţionează mecanismul, dar forţa combinată a medicamentelor blochează celulele canceroase şi nu le mai permite multiplicarea, ucigându-le şi generând un răspuns al imunităţii corpului.

La acest moment, tratamentul pentru femeile care suferă de cancer de sân trebuie să treacă printr-o operaţie de extirpare a tumorii, combinat cu chimioterapie, radioterapie, terapii hormonale şi medicamente specifice.

Deşi costul celor două medicamente combinate este relativ mare, durata tratamentului va fi atât de scurtă încât costul total va fi unul mic. De asemenea, medicamentul Tyverb se apropie de finalul patentării sale, ceea ce va duce la o scădere a preţului său.

Sursa: Mediafax

Urmărește DESCOPERĂ.ro pe
Google News și Google Showcase
Cele mai noi articole
20 de lucruri uimitoare despre creierul uman
20 de lucruri uimitoare despre creierul uman
Marile companii de Inteligență Artificială sunt „mai puțin reglementate decât restaurantele”
Marile companii de Inteligență Artificială sunt „mai puțin reglementate decât restaurantele”
Trei reguli pe care părinții ar trebui să le aplice în privința telefoanelor pentru copii
Trei reguli pe care părinții ar trebui să le aplice în privința telefoanelor pentru copii
Românii vor avea facturi mai mari la gaze de la 1 aprilie 2026
Românii vor avea facturi mai mari la gaze de la 1 aprilie 2026
Un bazin roman monumental, ascuns timp de 2.000 de ani, a fost dezgropat lângă Roma
Un bazin roman monumental, ascuns timp de 2.000 de ani, a fost dezgropat lângă Roma
PRESS RELEASE: The concept of the DraculaLand project is being launched in Romania – a private investment of over EUR 1 billion, designed to become the largest entertainment, retail, and technology destination on the continent, one that will transform the country into a new global epicenter of entertainment
PRESS RELEASE: The concept of the DraculaLand project is being launched in Romania – a private investment of over EUR 1 ...
Economia suferă din cauza că oamenii nu cumpără mai des telefoane noi, susțin unii experți
Economia suferă din cauza că oamenii nu cumpără mai des telefoane noi, susțin unii experți
ADN-ul de lup se ascunde în majoritatea câinilor, au descoperit oamenii de știință
ADN-ul de lup se ascunde în majoritatea câinilor, au descoperit oamenii de știință
Prima „hartă biblică” încă influențează modul în care percepem granițele
Prima „hartă biblică” încă influențează modul în care percepem granițele
Eleanor de Aquitania, femeia care a condus Europa din umbra
Eleanor de Aquitania, femeia care a condus Europa din umbra
„Podcast cu Prioritate” #87 by ProMotor: samsari auto, mașini cu probleme și concluziile lui Dan Babu după sute de verificări
„Podcast cu Prioritate” #87 by ProMotor: samsari auto, mașini cu probleme și concluziile lui Dan Babu după sute de ...
Robert de Boron, autorul uitat care a reinventat legenda Sfântului Graal
Robert de Boron, autorul uitat care a reinventat legenda Sfântului Graal
De ce ni se pare că „simțim” durere atunci când vedem pe cineva rănit?
De ce ni se pare că „simțim” durere atunci când vedem pe cineva rănit?
Celulele umane îmbătrânite pot fi „reîncărcate”, au descoperit cercetătorii
Celulele umane îmbătrânite pot fi „reîncărcate”, au descoperit cercetătorii
COMUNICAT: În România se lansează conceptul proiectului DraculaLand – o investiție privată de peste 1 miliard de euro, concepută să devină cea mai mare destinație de entertainment, retail și tehnologie de pe continent care va transforma țara într-un nou epicentru global al divertismentului
COMUNICAT: În România se lansează conceptul proiectului DraculaLand – o investiție privată de peste 1 miliard de euro, ...
Test de cultură generală. Care este diferența dintre Coca-Cola și Pepsi?
Test de cultură generală. Care este diferența dintre Coca-Cola și Pepsi?
Pentru prima dată în istorie, 8 nave spațiale sunt andocate la Stația Spațială Internațională
Pentru prima dată în istorie, 8 nave spațiale sunt andocate la Stația Spațială Internațională
Surpriză: Untura de porc, mai sănătoasă decât uleiul pentru prăjit
Surpriză: Untura de porc, mai sănătoasă decât uleiul pentru prăjit