Home » Știință » Modificările din sânge, nu ale inimii, ar putea sta la baza trombozei cardiace la pacienții cu COVID-19

Modificările din sânge, nu ale inimii, ar putea sta la baza trombozei cardiace la pacienții cu COVID-19

Modificările din sânge, nu ale inimii, ar putea sta la baza trombozei cardiace la pacienții cu COVID-19
Foto: Shutterstock
Publicat: 09.12.2021

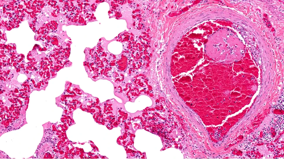
Cercetătorii au examinat mostre de țesut ale inimii de la pacienți care au murit la începutul pandemiei de COVID-19. Au fost găsite cheaguri de sânge frecvente și extinse (semnele trombozei cardiace) în vasele inimii, așa cum era anticipat, dar tipul de modificări ale celulelor endoteliale care căptușesc inima, care sunt de obicei observate în tromboze, au fost absente.

În schimb, datele au indicat că un posibil vinovat este hipercoagulabilitatea sângelui cauzată de neutrofilele activate, un tip de globule albe. Descoperirile lor sunt publicate în revista The American Journal of Pathology.

„Laboratorul meu are o istorie lungă de definire a modificărilor celulelor endoteliale care produc patologii, inclusiv pe cele ale trombozei cardiace, și ne așteptam să confirmăm ipoteza larg răspândită conform căreia modificările locale ale celulelor endoteliale sunt responsabile de tromboza vaselor cardiace la pacienții cu COVID-19”, a explicat Jordan S. Pober, de la Yale University School of Medicine.

„În schimb, am descoperit că trombusurile cardiace conțineau neutrofile care exprimau modificări cunoscute pentru înlesnirea coagulării, inclusiv modificări care sunt asociate cu moartea și inflamația celulelor”, a adăugat cercetătorul, citat de Science Daily.

Leziunile miocardice nu sunt printre cauzele trombozei cardiace la pacienții COVID-19

Pacienții spitalizați cu infecție cu SARS-CoV-2 au un risc crescut de a dezvolta leziuni miocardice. Cu toate acestea, numeroase studii au detectat rar proteine ​​virale sau ARN în inimile pacienților care au murit din cauza COVID-19, în ciuda dovezilor prezenței abundente a virusului în plămânii acelorași pacienți.

Tromboza vaselor coronare micro și macro a caracterizat cel mai constant inimile persoanelor care au cedat în fața COVID-19, dar cauza de bază rămâne necunoscută.

Dr. Pober și colegii săi au examinat țesutul cardiac de la șapte autopsii ale pacienților cu COVID-19 efectuate la începutul pandemiei, înainte ca tratamentul anticoagulant să fie administrat în mod obișnuit și au comparat aceste specimene cu țesutul de autopsie de la 12 martori COVID-19 negativ, cu și fără boli cardiace, folosind microscopia cu fluorescență multiparametrică pentru a analiza compoziția vaselor trombozate.

Toți pacienții din grupul COVID-19 au avut pneumonie severă. Un pacient a suferit un stop cardiac brusc în afara spitalului, doi pacienți au dezvoltat septicemie și un pacient a avut leucemie acută recurentă cu trombocitopenie. Martorii COVID-19 negativ au inclus șase pacienți cu o boală cardiacă preexistentă.

Tromboza a fost cea mai frecventă constatare patologică în grupul COVID-19, cu o frecvență foarte crescută a microtrombusurilor și a numărului total de macrotrombusuri în comparație cu martorii negativi pentru COVID-19.

În ciuda dovezilor larg răspândite de tromboză, nu a fost detectată nicio dovadă de moarte a miocitelor sau de inflamație acută asociată în mod obișnuit cu infarctul miocardic în grupul COVID-19.

Vasele inimii au fost examinate pentru semne de leziune a celulelor endoteliale, care pot promova tromboza prin eliberarea de microparticule care conțin factor de țesut procoagulativ sau prin desprinderea celulelor endoteliale care poate expune colagenul activator de trombocite.

Cercetătorii nu au reușit să găsească astfel de modificări endoteliale la locurile de tromboză. În schimb, au văzut că trombusurile cardiace la patru dintre cei șase pacienți cu COVID-19 conțineau neutrofile care exprimau modificări procoagulante în sânge, cum ar fi citrulinarea histonelor asociată cu formarea de capcane extracelulare pentru neutrofile (NET).

Unele imagini sugerează că NET par a fi direct asociate cu trombocitele. Macrotrombusuri bogate în neutrofile, compuse din 30% sau mai multe neutrofile au fost găsite frecvent în grupul COVID-19, dar nu și în probele de țesut de control.

Tratamentele anti-COVID includ în prezent anticoagulante

Dr. Pober a comentat: „Datele noastre contestă opinia conform căreia modificările peretelui vaselor cardiace sunt cauza principală a trombozei cardiace COVID-19. Tratamentele actuale pentru COVID-19 sever includ anticoagulanți, dar cea mai bună strategie nu este clară încă”.

„Dintre descoperirile noastre, reducerea răspunsurilor neutrofile ar putea fi o țintă importantă pentru intervenția terapeutică. Acesta și multe alte progrese în înțelegerea bolii continuă să fie furnizate de autopsii și sunt recunoscător patologilor care le-au efectuat pentru acest studiu atât la Brigham and Women’s Hospital, cât și la Yale”, a adăugat cercetătorul.

Peter Libby, cardiolog și biolog vascular la Brigham and Women’s Hospital din Boston și la Harvard Medical School, a declarat: „De câțiva ani am studiat neutrofilele și produsele lor protrombotice cunoscute sub numele de NET în contextul cheagurilor care se formează în arterele coronare mai mari”.

„Descoperirea implicării neutrofilelor în vasele de sânge mai mici care trec prin mușchiul inimii în COVID-19 extinde înțelegerea noastră despre leziunile cardiace pe care le vedem adesea la pacienții cu SARS-CoV-2 sever. Patologii Robert F. Padera și Richard N. Mitchell ne-au ajutat enorm furnizând mostre de țesut pentru aceste analize la începutul experienței noastre cu această pandemie”, a concluzionat medicul.

Vă recomandăm să citiți și:

Viermii au arătat legătura dintre vitamina B12 și boala Alzheimer

Iadul din termometre. Care este pragul de rezistență al organismul uman la temperaturile extreme?

Iată metodele dovedite științific care te pot ajuta să renunți la fumat în 2021

Un studiu a descoperit variantele genetice legate de apariția schizofreniei

Ștefan Trepăduș
Ștefan Trepăduș
Ștefan Trepăduș este blogger începând cu anul 2009, având experiență și în domeniile publicitate și jurnalism. Este pasionat de marketing și de tehnologie, dar cel mai mult îi place să știe lucruri, motiv pentru care a fost atras de Descopera.ro. citește mai mult
Urmărește DESCOPERĂ.ro pe
Google News și Google Showcase
Cele mai noi articole
Oamenii de știință au descoperit un „mini-Pluto” dincolo de Neptun
Oamenii de știință au descoperit un „mini-Pluto” dincolo de Neptun
Un cercetător ar fi găsit o scurtătură către Marte. În cât timp am putea ajunge la Planeta Roșie?
Un cercetător ar fi găsit o scurtătură către Marte. În cât timp am putea ajunge la Planeta Roșie?
Prețurile la biletele de avion, tot mai mari. Industria aviatică trece printr-o criză de combustibil
Prețurile la biletele de avion, tot mai mari. Industria aviatică trece printr-o criză de combustibil
Locul în care trăim contează mai mult decât credem. Cum este influențată sănătatea?
Locul în care trăim contează mai mult decât credem. Cum este influențată sănătatea?
Urmașii lui Leonardo da Vinci dezvăluie secretele genetice ale geniului său
Urmașii lui Leonardo da Vinci dezvăluie secretele genetice ale geniului său
Ce se întâmplă în creier atunci când ești la munte? Studiile arată efecte clare asupra stresului, anxietății și stării emoționale
Ce se întâmplă în creier atunci când ești la munte? Studiile arată efecte clare asupra stresului, anxietății și ...
Cel mai mare tezaur de monede vikinge descoperit vreodată în Norvegia
Cel mai mare tezaur de monede vikinge descoperit vreodată în Norvegia
Când cei din familia ta refuză să te ajute și de ce uneori nu vor să permită nici altcuiva să o facă
Când cei din familia ta refuză să te ajute și de ce uneori nu vor să permită nici altcuiva să o facă
Bucuria ta îi poate deranja pe alții. De ce apare reacția asta?
Bucuria ta îi poate deranja pe alții. De ce apare reacția asta?
Descoperă codul secret al cuvintelor! Teodora Mețiu dezvăluie la „Altceva cu Adrian Artene” puterea ascunsă a vocii și „rețeta magică” dintr-un cuplu
Descoperă codul secret al cuvintelor! Teodora Mețiu dezvăluie la „Altceva cu Adrian Artene” puterea ascunsă a vocii ...
Test de cultură generală. Care este diferența dintre masă și greutate?
Test de cultură generală. Care este diferența dintre masă și greutate?
Oamenii de știință au creat forme exotice de materie care nu ar trebui să existe
Oamenii de știință au creat forme exotice de materie care nu ar trebui să existe
Țara care se transformă rapid în cel mai mare laborator de testare pentru Inteligența Artificială
Țara care se transformă rapid în cel mai mare laborator de testare pentru Inteligența Artificială
România a pierdut peste 2.000 de cetățeni cu drept de vot în ultima lună
România a pierdut peste 2.000 de cetățeni cu drept de vot în ultima lună
OMS dă asigurări că focarul de hantavirus de pe vasul de croazieră „nu este începutul unei noi pandemii”
OMS dă asigurări că focarul de hantavirus de pe vasul de croazieră „nu este începutul unei noi pandemii”
De ce infecțiile se răspândesc atât de repede pe navele de croazieră?
De ce infecțiile se răspândesc atât de repede pe navele de croazieră?
Astăzi se împlinesc 140 de ani de când lumea a făcut cunoștință cu băutura Coca-Cola
Astăzi se împlinesc 140 de ani de când lumea a făcut cunoștință cu băutura Coca-Cola
Bărbații contribuie la schimbările climatice mai mult decât femeile, confirmă un nou studiu
Bărbații contribuie la schimbările climatice mai mult decât femeile, confirmă un nou studiu