Poate că acum aceste metode o să pară radicale, periculoase, dar la momentul respectiv au fost singurele care au reuşit să-i scoată din încurcătură pe oamenii de ştiinţă care nu ştiau cum altfel ar putea să-şi demonstreze teoriile.
Cu siguranţă că ingerarea intenţionată a unei bacterii periculoase sau agresarea propriului asistent nu sunt soluţii recomandate în rândul cercetătorilor care au ceva de demonstrat, dar iată că aceste experimente ciudate au avut în cele din urmă un rezultat pozitiv.
Barry Marshall, un medic din Australia, a fost încă din copilărie o persoană mai nonconformistă. Îi plăcea să realizeze artificii şi nu ezita să-şi opereze propriul câine.
A observat că părinţii lui, care sufereau de ulcer, se aceştia se simţeau mai bine după ce luau antibiotice, astfel a intuit că boala este provocată de o bacterie.
Ulterior, când a încercat să publice lucrarea în care susţinea această teorie nouă – că ulcerul este provocat de o bacterie – colegii săi medici au râs de el şi l-au respins, declarând că bacteriile nu pot supravieţui în stomacul unui om.

Convins că totuşi are dreptate, Barry nu a găsit altă variantă pentru a demonstra asta decât exprimentând pe propria piele. A băut un lichid care conţinea bacteria Helicobacter pylori. În doar câteva zile, a început să aibă simptome de gastroenterită.
Apoi, medicul a realizat o biopsie a propriului stomac, arătând astfel că acolo se dezvoltau bacterii, iar la final s-a vindecat cu ajutorul antibioticelor. În anul 2005, Barry Marshall a primit Premiul Nobel pentru Fiziologie pentru descoperirea rolului pe care îl are bacteria Helicobacter pylori în producerea gastritei şi a ulcerului.
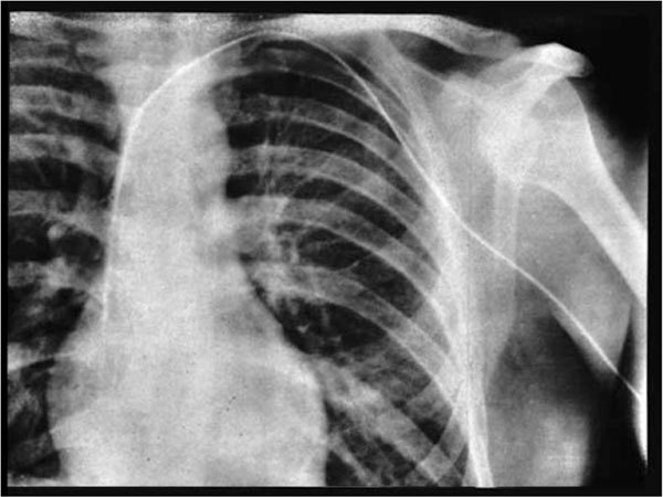
În 1929, Werner Forssmann avea doar 25 de ani şi era chirurg asistent într-un orăşel din Germania, Eberswald, pe vremea marii crize economice. Chirurgia cardiacă era abia la început, iar tânărul Werner era convins că o metodă mai sigură este folosirea unui cateter care să ajungă până la inimă prin vene.
Toţi colegii săi l-au avertizat să tehnica ar fi cu siguranţă fatală, prin urmare Werner a decis să experimenteze pe el însuşi. O singură asistentă a fost de acord să-l ajute, rugându-l însă să facă acest experiment pe ea.

Ambiţiosul medic a fost de acord, a anesteziat-o pe femeie şi, când a fost sigur că aceasta doarme, şi-a introdus singur un cateter în venă, până la inimă, realizând astfel procedura pe care o dorea. Ca să arate că este cu adevărat posibil, le-a prezentat colegilor, ulterior, o radiografie care arăta cum a ajuns cu acel cateter la inimă.
Ulterior, tot el a demonstrat că inima poate fi obserrvată radiologic prin injectarea unei substanţe de contrast cu iod prin intermediul cateterului. Din nou, a realizat procedura revoluţionară pe el însuşi.

În 1956, Werner Forssmann a primit Premiul Nobel pentru Medicină pentru inventarea acestei tehnici, care este acum numită cateterizare cardiacă, metodă care este folosită pentru diagnostic, dar şi pentru tratarea unor afecţiuni ale inimii.
Thor Heyerdahl a fost un adevărat Indiana Jones al Norvegiei. Era convins că în Antichitate oamenii au putut străbate Oceanul Pacific folosind plute simple, iar când antropologii l-au contrazis, s-a decis că arate că acest lucru este posibil cu adevărat.
A construit, cu propriile sale mâini, alături de o mică echipă, o plută cu care au pornit apoi să străbată oceanul, în 1947. În doar 101 zile, ei au parcurs aproape 7.000 de kilometri.
Heyerdahl era convins că prin această metodă triburile au ajuns şi în zone ale lumii considerate mai izolate, ducând cu ei propria cultură, dar şi genele.
Recent, în anul 2011, studiile genetice au demonstrat din nou că teoria lui antropologică poate fi corectă.
Cercetătorii de la Universitatea din Oslo au dovezi care atestă că primii locuitori din America de Sud au colonizat Insula Paştelui, cu mii de ani în urmă.
Testele genetice la care au fost supuşi locuitorii din Insula Paştelui arată că aceştia au strămoşi în rândul nativilor americani.
Cu toate acestea, cei mai mulţi istorici resping încă această ipoteză, invocând argumente lingvistice.
Astronomul Tycho Brahe, profesorul lui Johannes Kepler, a fost un nobil danez, celebru pentru comportamentul său excentric şi firea irascibilă. Îi plăcea foarte mult să dezbată aprins, chiar să se certe când vorbea despre matematică.
Prezent la o petrecere, într-o seară a anului 1566, Brahe a început o discuţie despre o anumită formulă matematică, iar unul dintre invitaţi a îndrăznit să-l contrazică. Revoltat, Brahe l-a provocat pe acesta la duel.

Deşi era un matematician foarte bun, Brahe s-a dovedit a fi un spadasin jalnic şi şi-a pierdut vârful nasului în timpul luptei.
Într-adevăr, se pare că formula pe care o susţinuse cu atâta patimă era corectă, pentru că Tycho Brahe a devenit un astronom celebru, dar a fost nevoit să poarte tot restul vieţii o proteză pentru nas, făcută din metal.
Cea mai şocantă metodă de testare a propriilor teorii îi aparţine probabil medicului german August Bier. El încerca să inventeze o variantă mai bună de anestezie, pentru a putea opera pacienţii fără să-i mai adoarmă.
Astfel s-a născut în mintea lui ideea anesteziei spinale. Era convins că dacă va injecta cocaină în spaţiul dintre vertebrele coloanei, bolnavii nu vor simţi durere, dar vor fi conştienţi în timpul intervenţiei.
Deşi a testat noua metodă pe câţiva pacienţi, Bier tot nu era singur că teoria lui este corectă. Astfel, în august 1898, a decis să încerce pe el însuşi şi l-a rugat pe un asistent, Hildebrandt, să-i injecteze cocaină în coloană.

Cum ucenicul nu s-a descurcat prea bine, August a considerat că i-a rămas o singură soluţie: i-a anesteziat asistentului un picior şi a început apoi să-l lovească şi să-l ardă cu ţigara, pentru a fi sigur că acesta nu simte nicio durere.
La final, evident, medicul şi-a pierdut un asistent de încredere, dar a demonstrat întregii lumi, chiar dacă printr-o metodă cam sadică şi bizară, că anestezia spinală este posibilă şi eficientă.
La fel de departe a mers neurologul britanic Henry Head. Medicul dorea neapărat să înţeleagă mecanismul durerii şi ce anume simt pacienţii care au nervii distruşi. După ani întregi în care a intervievat numeroşi bolnavi, dar nu a reuşit să afle prea multe, Head a luat o decizie radicală.
Şi-a rugat un prieten chirurg să-i îndepărteze anumiţi nervi, iar apoi a început să documenteze, în detaliu, diferite experimente despre durere şi senzaţii, alături de amicul său, psihiatrul W. H. R. Rivers.

Eforturile sale nu au fost zadarnice. Medicul a primit titlul de cavaler şi a fost nominalizat de câteva ori la Premiul Nobel.
Chiar dacă pare mai puţin dificil şi periculos, nu este plăcut să vezi lumea cu susul în jos timp de 8 zile. Exact asta a făcut psihologul american George Malcolm Stratton, în 1890.
El a purtat timp de 8 zile lentile care îl făceau să vadă lumea din jur invers, pentru a demonstra că în acest caz creierul se adaptează şi va corecta imaginea greşită pe care o percep ochii.

Primele 4 zile au fost foarte dificile, Stratton se simţea mereu ameţit şi dezorientat, dar apoi, într-adevăr, creierul a început treptat să corecteze imaginea, să o întoarcă aşa cum era în realitate, iar după 8 zile bărbatul putea merge normal, deşi purta lentilele inverse.
Problemele au apărut după ce a renunţat la aceste lentile. Creierul lui, confruntat cu imaginea normală, a avut din nou nevoie de adaptare, timp în care Stratton s-a simţit foarte rău, a avut dureri de cap şi ameţeli.

La final, George Stratton a fost foarte mulţumit, pentru că a dovedit că este posibil ca creierul uman să ajusteze senzaţiile la schimbările de mediu.
Elsie Widdowson, de profesie chimist şi nutriţionist, trebuia să anunţe care sunt raţiile alimentare pe care să le primească britanicii în timpul celui de al doilea război mondial.
Nu ştia însă de unde să înceapă, cum să facă pentru a nu greşi cumva raţia minină necesară supravieţuirii, astfel că a decis că există o singură soluţie: să încerce pe propria piele efectele înfometării.
Timp de mai multe luni, Elsie a recurs la diferite diete, mâncând doar porţii foarte mici de pâine, cartofi sau varză. Iar pentru a verifica dacă acest regim nu-i afectează viaţa, urca în fiecare zi pe munte, mergea pe bicicletă şi făcea diferite exerciţii fizice.
Pentru că s-a monitorizat atent în această perioadă, datele astfel obţinute au ajutat la stabilirea unei diete minime considerată necesară pe timp de război, care să asigure sănătatea populaţiei în ciuda crizei de alimente.
Surse: Popular Mechanics, New Scientist, Science Museum, io9, Oxford Journals, Academy of Achievement