Home » D:News » Femeia care a trăit timp de 20 de ani cu un sterilet în uter

Femeia care a trăit timp de 20 de ani cu un sterilet în uter

Femeia care a trăit timp de 20 de ani cu un sterilet în uter
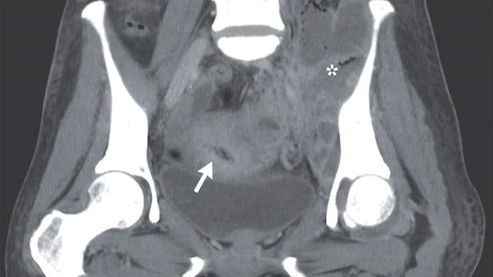
Credit foto: Noriko Arakaki si Yusuke Oshiro - NEJM
Publicat: 10.09.2021

Un sterilet (dispozitiv intrauterin – DIU) montat în uter reprezintă o metodă de contracepție eficientă și poate reduce chiar riscul de cancer, însă aceste piese prezintă unele riscuri.

Un exemplu în acest sens este cazul unei femei care a avut un sterilet în uter timp de 20 de ani și care a dus la o infecție gravă cunoscută sub numele de actinomicoză.

După ce a suferit de dureri abdominale și febră, pacienta a mers la un medic care a constatat că dispozitivul era infectat și  înconjurat de abcese, declanșate de bacteria Actinomyces israelii.

O astfel de infecție poate fi tratată cu antibiotice, însă studiul de caz, publicat în revista New England Journal of Medicine, demonstrează importanța înlocuirii DIU înainte de data expirării.

Femeia avea 54 de ani și, de câteva luni, pierduse în greutate, avea dureri, febră și dificultăți la mers.

Un examen fizic a dezvăluit un nodul în partea de jos, în stânga abdomenului, care producea durere la atingere, astfel încât medicii au cerut efectuarea unui CT și prelevarea de sânge.

Steriletul îi provocase abcese în uter

Examinarea la computerul tomograf a arătat o serie de abcese în jurul steriletului care se afla încă în uter. Rezultatele analizelor de sânge au confirmat infecția, deoarece numărul de celule albe din sânge – care combat infecțiile – era crescut. Infecția se răspândise dincolo de pelvis și în articulația șoldului stâng.

Bacteriile A. israelii actinomyces se găsesc în tractul vaginal inclusiv la persoanele sănătoase, însă în anumite situații pot traversa granița și pot provoca o infecție cunoscută sub numele de actinomicoză. Aceste bacterii se caracterizează prin granule de culoarea sulfului și, atunci când provoacă infecție, pot fi tratate cu antibiotice.

Un cocktail de antibiotice a primit și femeia în cauză, în urma căruia și-a revenit fără a avea complicații de durată.

Steriletul pe care îl avea în uter era din plastic și trebuia îndepărtat după cinci ani, ceea ce înseamnă că a stat în organismul ei 15 ani după data expirării.

Când trebuie înlocuit un dispozitiv intrauterin

Dispozitivele intrauterine cu cea mai lungă durată de viață au un fir de cupru, dar chiar și acestea ar trebui înlocuite mai devreme de 12 ani.

Dincolo de creșterea riscului de infecții precum actinomicoza, un sterilet învechit nu mai este eficient ca metodă de contracepție.

„Actinomicoza pelviană apare la mai mult de 85% din cazurile în care DIU a fost utilizat mai mult de 3 ani și este mai frecventă la dispozitivele din plastic decât cele din cupru”, a declarat Noriko Arakaki, autorul principal al studiului citat de Gizmodo.

Specialiștii avertizează toate femeile care au montate sterilete să facă controale ginecologice regulate și să le schimbe la
momentul potrivit.

Vă recomandăm să citiți și:

Steriletul poate reduce riscul apariţiei cancerului de col uterin

Afecţiunea care joacă rolul unui sterilet şi afectează fertilitatea

Când este necesară intervenţia chirurgicală în cazul sarcinii extrauterine

Mihaela STOICA
Mihaela STOICA
Mihaela Stoica a fost redactor-șef Descopera.ro între februarie 2015 - decembrie 2021, iar în prezent este colaborator al site-ului. Absolventă de Istorie, a fost mai întâi profesor. A intrat în presa online în 2006, la agenţia NewsIn. A lucrat apoi în redacţiile Adevărul şi Gândul, ... citește mai mult
Urmărește DESCOPERĂ.ro pe
Google News și Google Showcase
Cele mai noi articole
Telescopul Webb a descoperit o galaxie spirală masivă de la începuturile Universului
Telescopul Webb a descoperit o galaxie spirală masivă de la începuturile Universului
Mitul medieval care ascunde una dintre cele mai profunde teorii despre sufletul uman
Mitul medieval care ascunde una dintre cele mai profunde teorii despre sufletul uman
O întâlnire străveche a Soarelui cu alte două stele a schimbat pentru totdeauna Sistemul Solar
O întâlnire străveche a Soarelui cu alte două stele a schimbat pentru totdeauna Sistemul Solar
Albert Einstein a avut dreptate: Timpul se scurge mai repede pe planeta Marte!
Albert Einstein a avut dreptate: Timpul se scurge mai repede pe planeta Marte!
Cel mai bătrân strămoș al rechinilor înota în apele Australiei pe vremea dinozaurilor
Cel mai bătrân strămoș al rechinilor înota în apele Australiei pe vremea dinozaurilor
Legendele uitate care au modelat miturile arturiene: Iosif din Arimateea și primii Vânători ai Graalului
Legendele uitate care au modelat miturile arturiene: Iosif din Arimateea și primii Vânători ai Graalului
Cum îi sprijinim pe cei care au pierdut pe cineva drag ori sunt la final de viață? Ghid empatic, bazat pe psihologie
Cum îi sprijinim pe cei care au pierdut pe cineva drag ori sunt la final de viață? Ghid empatic, bazat pe psihologie
Gardieni, creatori și simboluri ale puterii: Dragonii nu au fost întotdeauna personaje negative
Gardieni, creatori și simboluri ale puterii: Dragonii nu au fost întotdeauna personaje negative
Ce se întâmplă cu creierul atunci când lucrezi în echipă?
Ce se întâmplă cu creierul atunci când lucrezi în echipă?
Locul în care trăiești influențează ce greutate ai, arată un nou studiu
Locul în care trăiești influențează ce greutate ai, arată un nou studiu
Test de cultură. Care fasole este toxică atunci când este mâncată crudă?
Test de cultură. Care fasole este toxică atunci când este mâncată crudă?
JWST a descoperit o galaxie spirală asemănătoare Căii Lactee undeva unde nu ar trebui să existe
JWST a descoperit o galaxie spirală asemănătoare Căii Lactee undeva unde nu ar trebui să existe
10 obiceiuri prin care putem încetini îmbătrânirea corpului nostru
10 obiceiuri prin care putem încetini îmbătrânirea corpului nostru
Ziua în care Alexandru Ioan Cuza a introdus învăţământul obligatoriu şi gratuit. Ce păţeau părinţii care nu se supuneau legii
Ziua în care Alexandru Ioan Cuza a introdus învăţământul obligatoriu şi gratuit. Ce păţeau părinţii care nu se ...
20 de lucruri uimitoare despre creierul uman
20 de lucruri uimitoare despre creierul uman
Marile companii de Inteligență Artificială sunt „mai puțin reglementate decât restaurantele”
Marile companii de Inteligență Artificială sunt „mai puțin reglementate decât restaurantele”
Trei reguli pe care părinții ar trebui să le aplice în privința telefoanelor pentru copii
Trei reguli pe care părinții ar trebui să le aplice în privința telefoanelor pentru copii
Românii vor avea facturi mai mari la gaze de la 1 aprilie 2026
Românii vor avea facturi mai mari la gaze de la 1 aprilie 2026