Home » Știință » În creierul uman au fost detectate bacterii vii

În creierul uman au fost detectate bacterii vii

În creierul uman au fost detectate bacterii vii
Publicat: 14.11.2018
Microbii ce se află în intestinele umane sunt consideraţi responsabili pentru multe lucruri, afectează sănătatea, genele şi chiar emoţiile.

Cercetătorii realizează continuu descoperiri privind influenţa microbiotei umane, însă ultimele dovezi arată că bacteriile din intestine ar putea fi asociate unui ”microbiom uman din creier”. Conform Science Alert, descoperirile considerate preliminare în acest punct au fost prezentate recent în cadrul întâlnirii anuale de Neuroştiinţă 2018 de către cercetătorii Universităţii din Alabama.

Informaţiile sunt importante deoarece specialiştii încă învaţă despre modul în care microbiota influenţează funcţiile creierului şi comportamentul. Noile descoperiri sugerează că, în creierul uman, se află o populaţie de bacterii. „Este subiectul săptămânii”, afirmă neurologul Roland McGregor din cadrul Universităţii din California, ce nu a fost implicat în studiu. „Este precum am descoperi o nouă fabrică moleculară (în creier) ce are propriile nevoi. Este uimitor”, a adăugat el.

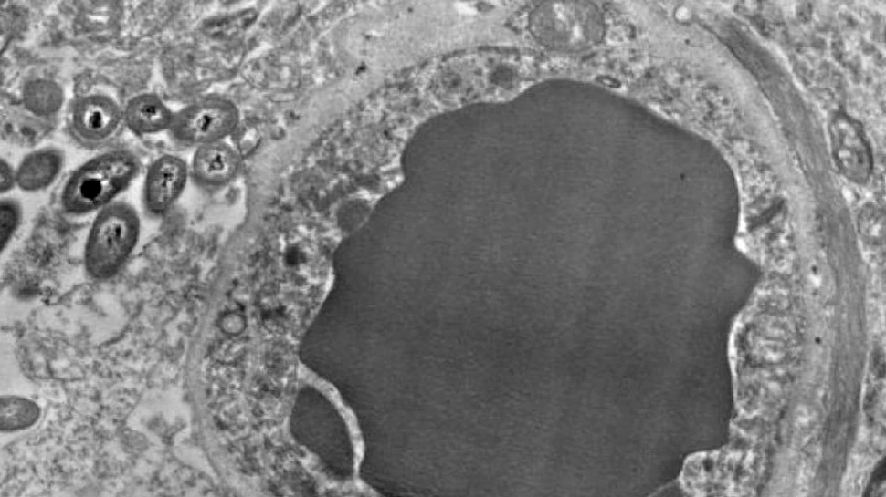
În cadrul noii cercetări, echipa condusă de Rosalinda Roberts a examinat probele cerebrale prelevate de la 34 de persoane decedate, jumătate dintre aceştia au suferit de schizofrenie în timpul vieţii, cealaltă jumătate dintre persoane fiind considerate sănătoase înainte de moarte. „Am realizat o serie de analize asupra secţiunilor pentru identificare şi cuantificare. În toate cazurile am descoperit bacterii, în cantităţi diferite. Acestea aveau o formă circulară cu o capsulă, nucleoid, ribozomi şi vacuole”, au explicat cercetătorii.

Specialiştii au declarat că densitatea bacteriilor varia în funcţie de zona în care au fost descoperite, cei mai mulţi microbi fiind descoperiţi în substantia nigra, hippocampus şi cortexul prefrontal. De asemenea, au fost descoperite antrocite, un tip de celule ce joacă un rol important în modul de comunicare a neuronilor.

Roberts speculează că bacteriile au ajuns în regiune prin intermediul fluxului sanguin.

Vă recomandăm să citiţi şi următoarele articole:

Un implant pe creier reprezintă viitorul pentru o super memorie

Creierul se poate micşora din cauza stresului. Iată 10 lucruri surpinzătoare despre modul în care funcţionează creierul nostru

Descoperire esenţială despre creierul nostru: o categorie de neuroni care se credea dispărută reapare sub o altă formă

Cercetătorii au descoperit canale secrete ce fac legătura între craniu şi creier

Urmărește DESCOPERĂ.ro pe
Google News și Google Showcase
Cele mai noi articole
Cel mai bătrân strămoș al rechinilor înota în apele Australiei pe vremea dinozaurilor
Cel mai bătrân strămoș al rechinilor înota în apele Australiei pe vremea dinozaurilor
Legendele uitate care au modelat miturile arturiene: Iosif din Arimateea și primii Vânători ai Graalului
Legendele uitate care au modelat miturile arturiene: Iosif din Arimateea și primii Vânători ai Graalului
Cum îi sprijinim pe cei care au pierdut pe cineva drag ori sunt la final de viață? Ghid empatic, bazat pe psihologie
Cum îi sprijinim pe cei care au pierdut pe cineva drag ori sunt la final de viață? Ghid empatic, bazat pe psihologie
Gardieni, creatori și simboluri ale puterii: Dragonii nu au fost întotdeauna personaje negative
Gardieni, creatori și simboluri ale puterii: Dragonii nu au fost întotdeauna personaje negative
Locul în care trăiești influențează ce greutate ai, arată un nou studiu
Locul în care trăiești influențează ce greutate ai, arată un nou studiu
Test de cultură. Care fasole este toxică atunci când este mâncată crudă?
Test de cultură. Care fasole este toxică atunci când este mâncată crudă?
JWST a descoperit o galaxie spirală asemănătoare Căii Lactee undeva unde nu ar trebui să existe
JWST a descoperit o galaxie spirală asemănătoare Căii Lactee undeva unde nu ar trebui să existe
Un cosmonaut rus, eliminat dintr-o misiune care trebuia să ajungă la Stația Spațială Internațională. Ce s-a întâmplat?
Un cosmonaut rus, eliminat dintr-o misiune care trebuia să ajungă la Stația Spațială Internațională. Ce s-a întâmplat?
Un magician a uitat parola cipului implantat în propriul corp
Un magician a uitat parola cipului implantat în propriul corp
10 obiceiuri prin care putem încetini îmbătrânirea corpului nostru
10 obiceiuri prin care putem încetini îmbătrânirea corpului nostru
Ziua în care Alexandru Ioan Cuza a introdus învăţământul obligatoriu şi gratuit. Ce păţeau părinţii care nu se supuneau legii
Ziua în care Alexandru Ioan Cuza a introdus învăţământul obligatoriu şi gratuit. Ce păţeau părinţii care nu se ...
20 de lucruri uimitoare despre creierul uman
20 de lucruri uimitoare despre creierul uman
Marile companii de Inteligență Artificială sunt „mai puțin reglementate decât restaurantele”
Marile companii de Inteligență Artificială sunt „mai puțin reglementate decât restaurantele”
Trei reguli pe care părinții ar trebui să le aplice în privința telefoanelor pentru copii
Trei reguli pe care părinții ar trebui să le aplice în privința telefoanelor pentru copii
Românii vor avea facturi mai mari la gaze de la 1 aprilie 2026
Românii vor avea facturi mai mari la gaze de la 1 aprilie 2026
ESA intensifică cercetarea Pământului pe măsură ce viitorul agențiilor americane devine tot mai incert
ESA intensifică cercetarea Pământului pe măsură ce viitorul agențiilor americane devine tot mai incert
Un bazin roman monumental, ascuns timp de 2.000 de ani, a fost dezgropat lângă Roma
Un bazin roman monumental, ascuns timp de 2.000 de ani, a fost dezgropat lângă Roma
Un expert spune că modelele lingvistice mari nu vor fi niciodată cu adevărat inteligente
Un expert spune că modelele lingvistice mari nu vor fi niciodată cu adevărat inteligente